Введение
Перитонеальный канцероматоз (опухоль брюшины) — одно из самых грозных вариантов прогрессирования целого ряда онкологических заболеваний. Канцероматоз является формой метастазирования, при которой опухолевые клетки распространяются по внутренней выстилке анатомической полости (брюшной или плевральной) и формируют на ней мелкие узелки, так называемые диссеминаты. Ее возникновение в большинстве случаев подразумевает IV стадию заболевания, и сопряжено с неблагоприятным прогнозом для пациента. Лечение пациентов с перитонеальным канцероматозом является одной из самых сложных задач в онкологии. Наиболее часто он развивается при злокачественных новообразованиях желудочно-кишечного тракта, дыхательной системы и женских репродуктивных органов. При каких опухолях может развиваться перитонеальный канцероматоз? При раке желудка, раке легкого, раке толстой и тонкой кишки, раке яичников, муцинозных опухолях червеобразного отростка. мезотелиоме брюшины или плевры, раке поджелудочной железы, саркоме брюшной полости (саркоматоз).
Содержание статьи:
Раком толстого кишечника называют злокачественную опухоль эпителиального происхождения. Локализация рака происходит в ободочной кишке. На начальных стадиях протекает бессимптомно, что существенно затрудняет своевременную диагностику. По мере разрастания появляются такие признаки и симптомы рака толстой кишки у мужчин и женщин, как хронические запоры, боли в животе, примеси крови и слизи в кале, ухудшение общего самочувствия, интоксикация. На поздних стадиях возникают внутренние кровотечения, кишечная непроходимость, появляются метастазы по всему организму.
Диагноз ставится на основании данных анамнеза, клинической картины, данных инструментальных и лабораторных исследований. Лечение рака ободочной кишки хирургическое.
Данная патология входит в топ-3 по распространенности среди всех онкологических заболеваний органов пищеварения. Рак ободочной кишки чаще всего встречается в развитых странах. Лидерами по количеству случаев заболевания являются Канада и США. Рак нисходящей ободочной кишки редко диагностируется у жителей стран Африки и Азии.
Для разных стадий рака толстого кишечника характерен долгий местный рост. Поражение лимфоузлов и образование отдаленных метастазов происходит относительно поздно.
Лечением данного патологического состояния занимаются специалисты в области клинической проктологии, онкологии, абдоминальной хирургии.
Кровообращение прямой кишки
Прямая кишка в отличие от других отделов кишечника характеризуется особенным кровообращением.
Артериальная система
Сосуды расположены в области подслизистой оболочке. При нарушении их строения и функционирования происходит развитие серьезных заболеваний.
Также выделяется 4 артерии, которые имеют парное строение, располагающиеся с правой и левой стороны. Конечным отделом данных артерий является подчревная артерия.
Данные сосуды способствуют созданию сложной системы анастомозов.
Венозная система
Венозная система прямой кишки имеет особенное строение. Основные сосуды венозного русла располагаются в области подслизистых слоёв, из него они идут в слизистую оболочку, где их строение называют анальным столбиком.
Сеть капилляров достаточно выражена и при нарушении кровоснабжения в данном отделе происходит расширение в вышележащих отделах. Также в подслизистый слое формируется особая система венозного кровообращения в виде кавернозного тела, что способствует их набуханию при патологических изменениях.
Лечение
Доброкачественные образования, например полипы, можно удалить хирургическим путем во время колоноскопии (но обязательно необходимо гистопатологическое исследование образца). Любое обнаружение полипа — показание к его удалению.
Злокачественные опухоли (рак сигмовидной кишки) необходимо оперировать. Прогноз всегда зависит от степени развития поражения.
При обнаружении дивертикулов, применяют выжидательную тактику, но воспаление (дивертикулит) лечится антибиотиками. Перфорация дивертикула требует хирургического вмешательства.
При остром неосложненном сигмоидите всегда назначают постельный режим, строгую диету (вначале голодание). Дальше лечение зависит от причины: противогельминтные при глистных инвазиях, антибактериальные с учетом чувствительности (например, при дизентерии), удаление копролитов при каловом завале. Применяются также средства от метеоризма, спазмолитики.
Лечение хронического (например, язвенного) воспаления, подразумевает использование иммуномодулирующих и иммуностимулирующих средств.
Что такое тонкий кишечник?
Тонкая кишка на самом деле больше, чем толстая кишка, но получает свое название от своего меньшего диаметра. Она расположена в нижней части живота и соединяет желудок с толстой кишкой.
Тонкая кишка вырабатывает пищеварительный сок для того, чтобы завершить расщепление пищи. Она также поглощает воду и питательные вещества. Если тонкий кишечник не может поглощать достаточно воды, у человека может развиться диарея.
Тонкая кишка состоит из трех отдельных частей:
- Двенадцатиперстная кишка: двенадцатиперстная кишка — это первая и самая короткая часть тонкой кишки. Она завершает первую часть пищеварения, смешивая ферменты желудка и поджелудочной железы для дальнейшего расщепления пищи.
- Тощая кишка: стенки тощей кишки помогают поглощать питательные вещества из пищи, используя крошечные волоски, называемые ворсинками. Стенки также имеют круглые складки, которые называются plicae Circuit. Они увеличивают общую площадь поверхности этой части тонкой кишки, помогая ей эффективно усваивать питательные вещества.
- Подвздошная кишка: подвздошная кишка помогает абсорбировать оставшиеся питательные вещества до того, как пища переместится в толстую кишку. Она играет ключевую роль в усвоении витамина B12 и желчных кислот. Это также самый длинный отдел тонкой кишки.
Что такое прямая кишка?
Прямая кишка является конечным отделом в пищеварительном тракте для лиц мужского и женского пола. Локализация органа относится к малому тазу.
Границами участка является сигмовидная кишка, с другой стороны, орган представляет конечный отдел пищеварительного тракта, которое представлено заднепроходным отверстием. Внешне кишка представляет изогнутое образование в двух плоскостях.
Первый изгиб носит название крестцового, он является вогнутым в сторону крестца, в конечном его отделе имеется выпуклость.

Расположение прямой кишки
Строение промежностного или второго изгиба отличается тем, что наличие выпуклости обращено кпереди. Анатомически он представляет собой отдел, являющийся перегибом у копчика.
Отделы
В прямой кишке находится три основных отдела, которые имеют свои анатомические особенности.
- Первый отдел является границей с сигмовидным отделом кишечника, его называют над ампулярный. Размер участка является небольшим, средняя длина составляет не более 5 см. Он представляет границу между сигмовидным отделом кишечника и выходным участком.
- Ампула прямой кишки. Данный отдел самый длинный и широкий. По длине он может достигать около 12 сантиметров. Ампула выполняет основную резервуарную функцию прямой кишки, за счёт особенностей анатомического строения слизистой оболочки.
- Промежностный отдел. Данный участок считают самым низким. Диаметр просвета минимальный, относительно вышеперечисленных. Промежностный отдел называют как анальный канал. По длине он самый короткий и не превышает средних параметров в 5 см.
Какова методика лечения ферментами поджелудочной железы?
Следует начинать с самой низкой эффективной дозы, которая контролирует симптомы. Дозу можно увеличить в 2-3 раза. Наиболее рационально назначать ферментные препараты с полимерными защитными покрытиями. Такие препараты (например, Мезим) устойчивы к желудочному соку, соответствуют физиологии желудочно-кишечного тракта — активные ферменты медленно растворяются в двенадцатиперстной кишке. Покрытия улучшают фармакокинетические и фармакодинамические свойства ферментных препаратов.
Ферменты более эффективны при совместном применении с антисекреторной терапией, такой как ранитидин. Лечение эффективно, если исчезнут боли в животе, вздутие живота и другие симптомы. Если симптомы не исчезнут, врач должен перепроверит диагноз и назначить другие препараты.
Виды анастомозов кишки
Способ восстановления целостности кишечной трубки после резекции зависит от анатомических условий и состояния кишки. Рассматривают три вида анастомозов.
- Анастомоз «конец в конец» (по типу восстановления труб газопровода) наиболее физиологичен и наиболее часто используется для восстановления целостности кишечной трубки.
- Анастомоз «бок в бок» накладывается в случаях несоответствия ширины просвета соединяемых концов кишки. В этой ситуации просветы кишечных трубок ушиваются наглухо, сбоку производится вскрытие просвета сближенных приводящей и отводящей петель. Накладывается боковой анастомоз.
- Анастомоз «конец в бок» накладывается в определенных условиях для обеспечения физиологичности поступления кишечного содержимого. Могут быть анастоматизированы участки тонкой кишки, например, при резекции желудка по Ру. Либо соустье накладывается между тонкой и толстой кишкой, например, при удалении правого фланга ободочной кишки (правосторонняя гемиколэктомия).
По методам выполнения выделяют ручной и аппаратный шов. Разработка и внедрение в хирургическую практику сшивающих аппаратов произвело революционный прорыв в хирургии желудочно-кишечного тракта. Аппараты обеспечивают надежное, прецизионное наложение шва. Исключается зависимость качества наложения анастомоза от квалификации хирурга. Аппаратный анастомоз надежен, прежде всего, за счет трехрядного скобочного шва, создающего герметичное сшивание тканей.
Применение сшивающих аппаратов значительно ускорило и облегчило наложение надежных анастомозов в труднодоступных, неудобных для ручного шва местах и значительно облегчило выполнение сложных операций, в частности, при низких резекциях нисходящей ободочной и прямой кишки.
Следует заметить, что компания Auto Suture первой в мире стала применять титановые скрепки, которые не дают артефактов при , что в последующем стало мировым стандартом для сшивающих аппаратов.
Сшивающие аппараты делятся на три группы в зависимости от функционального предназначения:
- аппараты для прошивания кишки, закрытия дефекта кишки (накладывают скрепочный шов, отсечение тканей производится скальпелем);
- линейные сшивающие аппараты для формирования межкишечных анастомозов (производят одновременное рассечение и прошивание тканей);
- циркулярные аппараты отсекают и сшивают ткани кишки, обеспечивая формирование полноценного межкишечного анастомоза «конец в конец».
Симптомы рака толстого кишечника
Местные симптомы
К местным проявлениям рака толстого кишечника относят:
- Постоянный дискомфорт в области живота. Повышенное газообразование и связанные с ним неприятные ощущения в животе – являются признаками нарушенной микрофлоры кишечника.
- Неустойчивый стул, который может чередоваться с продолжительным запором.
- Наличие примесей крови и слизи в каловых массах. Симптом обусловлен распадом опухоли и появлением эрозий и других дефектов стенки кишечника.
- Если опухоль расположена в сигмовидной или прямой кишке, кровь, вместе со слизью, как бы обволакивает каловые массы. При акте дефекации можно легко обнаружить свежие кровяные сгустки.
- В случае расположения опухоли в начальных отделах толстого кишечника, кровь смешивается с каловыми массами. По мере продвижения по кишечнику кровь успевает свернуться и меняет свой цвет с красного, на более темный – бордовый.
- Боли во время акта дефекации. Боль может возникать при локализации опухоли в сигмовидной или прямой кишке. Болезненная дефекация вызвана прорастанием опухоли в нервные сплетения, находящиеся в слизистом и подслизистом слое кишечной стенке, а также механическим раздражением стенки кишечника.
- Ощущение неполного опорожнения кишечника. Появляется в том случае, когда опухоль растет в просвет кишки и частично закрывает ее просвет. При этом часть каловых масс остается внутри кишечника.
- Лентовидные испражнения (в более поздних стадиях). Являются результатом инфильтративного роста опухоли, расположенной в прямой кишке. Инфильтративный рост означает прорастание опухоли не в просвет кишечника, а распространение вдоль стенок. Опухолевидный процесс захватывает все слои кишечника. Стенки теряют эластичность, утолщаются и поэтому просвет кишечника может значительно сужаться на большой площади. Каловые массы, проходя по суженным ходам, приобретают лентовидный характер.
Общие симптомы
- Анемия (снижение уровня гемоглобина и/или количества эритроцитов в крови). Для образования гемоглобина необходим такой микроэлемент как железо. А для образования эритроцитов необходимо присутствие витамина В-12. при деструктивных процессах в толстом кишечнике нарушается всасывание данных веществ, что в свою очередь ведет к появлению симптомов анемии.
- Появляется слабость, головокружения, головная боль, снижение трудоспособности.
- Больные выглядят бледными. Кожа сухая, ломкие волосы, тонкие слабые ногти – все это говорит о появлении анемии.
- Потеря аппетита. Сопровождается с потерей веса, и является одной из его причин.
- Рак, как и любой другой патологический процесс в организме, требует мобилизации всех резервных запасов. Прием пищи и переваривание – энергозависимый физиологический процесс. Поэтому не стоит удивляться, почему больные люди, а в особенности раковые больные отказываются есть.
- Аппетит также может теряться на фоне приема химиотерапии. Цитостатики (химиопрепараты), очень токсичны для организма, и к тому же угнетают жизнедеятельность не только раковых клеток, но и нормальных тканей организма.
- Необъяснимая потеря веса. Обычно похудание сопровождает любой патологический опухолевидный процесс, на его поздних стадиях развития. Рак толстого кишечника не является исключением. Существует несколько точек зрения относительно потери веса при раке. В поздних стадиях ракового процесса:
- Значительно нарушаются процессы пищеварения. Нормальная слизистая оболочка исчезает и на ее месте растет опухоль. Питательные вещества попросту не всасываются в организм и не усваиваются. Совместно с дефицитом витаминов и минералов, организм использует внутренние запасы организма, которые, кстати, не безграничны.
- Распад опухоли сопровождается значительной хронической кровопотерей, развитием симптомов анемии, которая ведет к постепенному похудению.
- Также при распаде опухолевых масс, раковые клетки, с током крови распространяются по всему организму, вызывая, в конечном итоге нарушение функций других органов. Токсические вещества, выделяющиеся в кровь из распадающейся опухоли, отравляют организм, нарушая, при этом нормальное течение обменных процессов. Больной постепенно начинает терять вес.
Источники
- Griffin G., Hewison M., Hopkin J., Kenny R., Quinton R., Rhodes J., Subramanian S., Thickett D. Vitamin D and COVID-19: evidence and recommendations for supplementation. // R Soc Open Sci — 2020 — Vol7 — N12 — p.201912; PMID:33489300
- Kinney PL., Schwartz J., Pascal M., Petkova E., Tertre AL., Medina S., Vautard R. Winter Season Mortality: Will Climate Warming Bring Benefits? // Environ Res Lett — 2015 — Vol10 — N6 — p.064016; PMID:26495037
- Foffi G., Pastore A., Piazza F., Temussi PA. Macromolecular crowding: chemistry and physics meet biology (Ascona, Switzerland, 10-14 June 2012). // Phys Biol — 2013 — Vol10 — N4 — p.040301; PMID:23912807
Работа кишечника
Кишечник что делает в организме человека? Процесс переваривания еды начинается раньше, чем он попадает в кишечник и желудок. Начало этого процесса происходит в ротовой полости. Все потому, что сначала еда обрабатывается с помощью ферментов, которые выделяются в ротовой полости. После попадания пищевого комка в желудок он обрабатывается желудочным соком. В 12-перстной кишке происходит процесс дальнейшего пищеварения. Туда же попадает желчь и секрет поджелудочной железы. Желчь способна нейтрализовать пепсин, который есть в желудочной кислоте.
В тонкой кишке всасываются все необходимые питательные вещества. Переваривание продолжается примерно два или четыре часа. Потом идет толстый кишечник, в котором происходит всасывание воды. Потом химус идет в ободочную кишку и только в конце попадает в прямую кишку.
В толстой кишке еда может находиться пятнадцать часов. За это время выводится вся жидкость, и остаются только непереваренные остатки. Именно эти остатки становятся основой каловых масс. Они постепенно попадают в прямую кишку и выводятся из организма. Таким образом, заканчивается процесс пищеварения. Хотя окончание этого процесса понятие абстрактное, ведь он происходит постоянно.
функции кишечника
Осложнения рака ободочной кишки
Если опухоль блокирует просвет ободочной кишки, у больного развивается кишечная непроходимость. Это состояние проявляется в виде отсутствия стула, сильных болей в животе, тошноты, рвоты, сильного ухудшения общего состояния. Больному немедленно требуется медицинская помощь, иначе может произойти некроз (гибель) участка кишки, разовьется перитонит.
Если опухоль приводит к постоянным кровотечениям, развивается анемия. Пациент становится бледным, постоянно испытывает слабость, его беспокоят головные боли, головокружения. В тяжелых случаях требуется переливание крови.
Метастазирование рака кишки в печень грозит нарушением оттока желчи и развитием механической желтухи — состояния, при котором кожа и слизистые оболочки приобретают желтоватый оттенок, беспокоит кожный зуд, боли в животе, ухудшается общее состояние. Пока не восстановлен отток желчи, становится невозможным проведение активного противоопухолевого лечения.
Состояние, при котором раковые клетки распространяются по поверхности брюшины, называется канцероматозом, при этом развивается асцит — скопление жидкости в животе. Это осложнение развивается при раке ободочной кишки стадии IVC. Асцит ухудшает состояние пациента, затрудняет лечение и резко негативно сказывается на прогнозе.
В «Евроонко» есть всё необходимое для эффективной борьбы с осложнениями злокачественных опухолей ободочной кишки. При неотложных состояниях пациенты получают лечение в полном объеме в отделении интенсивной терапии. Наши хирурги выполняют паллиативные операции, устанавливают стенты при кишечной непроходимости. При механической желтухе мы проводим дренирование, стентирование желчевыводящих путей. При асците наши доктора выполняют лапароцентез (эвакуацию жидкости через прокол), устанавливают перитонеальные катетеры, проводят системную и внутрибрюшинную химиотерапию.
При IVC стадии рака ободочной кишки, когда развивается канцероматоз брюшины, хирурги «Евроонко» применяют инновационный метод лечения — гипертермическую интраперитонеальную химиотерапию (HIPEC). Удаляют все крупные опухоли, затем брюшную полость промывают раствором химиопрепарата, подогретым до определенной температуры — это помогает уничтожить мелкие очаги. Согласно результатам мировой практики, HIPEC может продлить жизнь онкологического больного до нескольких лет.
Запись на консультацию круглосуточно
+7 (495) 668-82-28
Ишемический колит в преклонном возрасте
Это воспалительный процесс в толстом кишечнике, характеризующийся поражением целостности его стенок, связанным с нарушением кровотока. Причиной снижения кровоснабжения кишечной стенки является атеросклероз сосудов, возникающий вследствие возрастных изменений в организме человека. Болезнь часто развивается у пожилых людей.
Факторами, влияющими на возникновение заболевания, являются спаечные процессы, аномалии сосудов, ревматоидный артрит, хронический васкулит, заболевания соединительной ткани, увеличение лимфатических узлов, и многое другое.
У ишемического колита нет специфических симптомов, его проявления могут быть схожими с другими заболеваниями органов желудочно-кишечного тракта. Задача лечащего врача правильно диагностировать болезнь. Это делается с помощью рентгенографии толстой кишки, колоноскопии, ангиографии, анализа крови на определение уровня железа, белка, альбумина.
Симптомы ишемического колита:
- Боли в животе (у большинства заболевших);
- Тошнота;
- Запоры или диарея;
- Снижение аппетита;
- Кишечные кровотечения;
- Боли при пальпации живота;
- Тянущие боли в области пупка, рези внизу живота.
Лечение ишемического колита у пожилых людей проводят с помощью сосудорасширяющих медицинских препаратов. Для снятия болевого синдрома используют анальгетические и спазмолитические средства. Назначается диета – пациентам рекомендовано дробное питание. Нормализация артериального давления и лечение сердечной недостаточности также является частью терапии. Госпитализация и оперативное вмешательство показано при запущенной форме заболевания, или в результате развития осложнений, которые могут угрожать жизни человека. В таких случаях удаляется пораженная часть кишечника.
Сигмоидит
Это сегментарный колит – воспалительный процесс сигмовидной кишки. Развивается в любом возрасте, предрасположенности к полу нет. Именно в сигмовидной кишке воспаление возникает чаще всего (по сравнению с другими отделами), опять же из-за анатомического строения. Бывает острый и хронический.
Причин сигмоидита много:
- Травма. В этом отделе плотность каловых масс высокая. Каловые камни повреждают слизистую, стимулируя воспаление, особенно при присоединении инфекции;
- Нарушение кровообращения. Кровоснабжение сигмовидной кишки нарушается из-за особенности строения сосудов. Это приводит к повреждению стенок и сигмоидиту. Способствуют сигмоидиту любые расстройства кровообращения в малом тазу, в т.ч. геморрой;
- Инфекции. Особенно часто острый сигмоидит развивается при гельминтозах, дизентерии;
- Заболевания прямой кишки. Проктит и парапроктит (особенно хронические) приводят к воспалению расположенных выше участков, в первую очередь к сигмоидиту. Кроме того, к воспалению сигмовидной кишки приводят нарушение питания (острая, пряная, жирная пища), предшествующие операции на брюшной полости.
Методы диагностики
Если пациента беспокоят симптомы, которые могут указывать на рак ободочной кишки, врач первым делам назначит УЗИ органов брюшной полости и колоноскопию. Эти исследования помогут обнаружить опухоль, а во время колоноскопии можно провести биопсию — получить фрагмент патологически измененной ткани и отправить в лабораторию. Биопсия — самый точный метод диагностики рака.
Колоноскопия — эффективный скрининговый метод. Она помогает обнаружить полипы и рак кишки на ранних стадиях. Её рекомендуется проходить всем людям старше 50 лет. В «Евроонко» колоноскопию выполняют врачи экспертного уровня на новейшем оборудовании от ведущих производителей. У нас процедура проходит в состоянии «медикаментозного сна», поэтому вы не будете испытывать неприятных ощущений.
После того, как рак диагностирован, нужно установить его стадию. Для этого применяют КТ, МРТ, ПЭТ-сканирование. Метастазы в легких выявляют с помощью рентгенографии грудной клетки. Если имеются метастазы в печени, применяют ангиографию — рентгенологическое исследование, во время которого в кровеносные сосуды вводят контрастный раствор.
Дополнительно врач может назначить анализ стула на скрытую кровь, общий и биохимический анализ крови, чтобы выявить анемию, оценить функции печени. Анализы крови на онкомаркеры обычно проводят в процессе лечения, чтобы проконтролировать его эффективность.
Дифференциальная диагностика
Симптомы, возникающие при раке ободочной кишки, могут беспокоить при многих других патологиях. Чаще всего злокачественную опухоль приходится дифференцировать с такими заболеваниями, как кишечные инфекции, хронические воспалительные процессы, геморрой, синдром раздраженного кишечника.
Инфаркт большого сальника на УЗИ
Больший сальник представляет собой двухслойную перитонеальную структуру, состоящую в основном из сальниковых сосудов и жировых тканей. Он прикрепляется к большей кривизне желудка и проксимальной части двенадцатиперстной кишки, как фартук прикрывает тонкую кишку, заворачивается на уровне входа в малый таз и возвращается к поперечной ободочной кишке. Сальник называют «полицейским» живота, так как он сдерживает распространение инфекции и опухолей.

Если случается перекрут фрагмента сальника, то развивается острое нарушение кровообращения. Предрасполагающие факторы: ожирение, кашель, физическая нагрузка, а так же тромбофилия, застойная сердечная недостаточность, васкулит и аномалии строения сосудов сальника. Спонтанный инфаркт в 90% случаев поражает правый нижний сегмент сальника, самый подвижный и богатый жиром. Когда инфаркт является осложнением воспалительных процессов, хирургического лечения, ущемления грыжи или травмы, то поражение может располагаться в разных участках брюшной полости.
Инфаркт сальника часто путают с острым аппендицитом, инвагинацией, брыжеечным лимфаденитом. Признаки этих заболеваний включают боль в правом нижнем квандранте живота, напряжение мышц брюшной стенки, рвоту.
В большинстве случаев инфаркт сальника разрешается без специального лечения. Поврежденный участок отграничивается и претерпевает инволюцию, главным образом с фиброзом, иногда с кальцификацией, редко возникает абсцесс. Некротический фрагмент может отделится и свободно фланировать в брюшной полости.
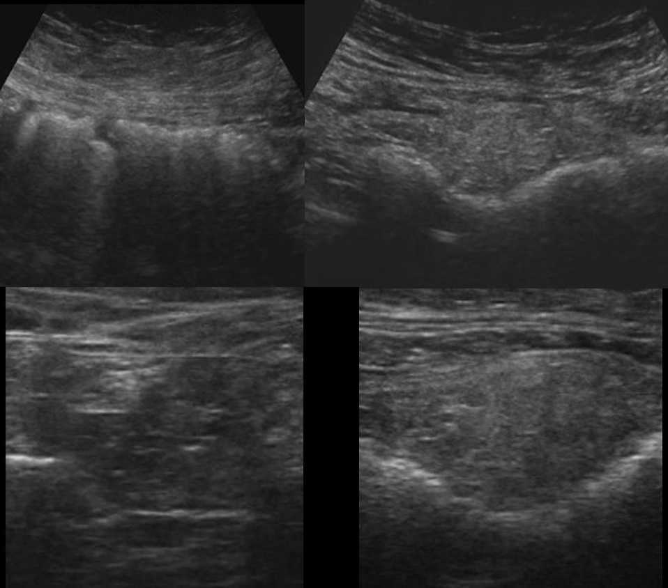
На УЗИ между передней брюшной стенкой и поперечной или восходящей ободочной кишкой определяют несжимаемую умеренно гиперэхогенную массу овальной или треугольной формы. Эхоструктура чаще неоднородная за счет гипоэхогенных очагов: аваскулярные трубчатые структуры — сосуды, зоны с нечеткими контурами — геморрагический инфаркт. Иногда поражение окружено анэхогенным ободком «хало» — жидкость. При ЦДК кровоток чаще не определяется, но у детей может сохранятся кровоток по периферии. Почти всегда находят умеренное количество жидкости в брюшной полости.
Рисунок. На УЗИ нормальный сальник (1, 3) неотличим от окружающих тканей. При инфаркте сальника (2, 4) прямо под передней брюшной стенкой определяется неоднородная умеренно гиперэхогенная зона с четким контуром.

Рисунок. Мальчик в течение 2-х дней жалуется на боль внизу живота справа. На УЗИ (1, 2) в точке максимальной болезненности определяется яйцевидная несжимаемая гиперэхогенная масса (стрелка), эхоструктура неоднородная за счет гипоэхогенных участков; при ЦДК единичные сигналы в центре и усиление кровотока на периферии. Заключение: Ультразвуковой симптомокомплекс может соответствовать сегментарному инфаркту большого сальника. Через 1 день состояние ребенка резко ухудшилось, на УЗИ (3, 4) васкуляризация в области поражения отсутствует. Проведена лапароскопическая оменэктомия.

Рисунок. Женщина с сильной болью внизу живота и рвотой. На УЗИ в области максимальной болезненности (правая подвздошная ямка) определяется овальной формы несжимаемая гиперэхогенная масса, неоднородная за счет гипоэхогенных участков, размер 92x30x57 мм; кровоток в пределах поражения отсутствует. Очаг примыкает к передней брюшной стенке и отграничен от кишечных петель. Смежные мелкие и крупные кишечные петли нормальной эхоструктуры. Аппендикс не изменен. Небольшое количество жидкости в правой подвздошной ямке. Заключение: Ультразвуковый симптомокомплекс может соответствовать инфаркту большого сальника. Для уточнения диагноза рекомендовано КТ.

Запор
Как понять, что у новорожденного запор
В течение первого месяца жизни малыш способен опорожнять кишечник после каждого кормления. Однако уже к 4-му месяцу частота стула снижается до 2 – 4 раз в сутки. При этом «грудничок» пачкает подгузники чаще, чем «искусственник», так как материнское молоко усваивается быстрее. Случается, однако, и так, что малыш, находящийся на грудном вскармливании, испражняется через день, а то и реже. Если при этом его стул мягкий и ничего не тревожит малыша, то причин для беспокойства нет. Это значит, что молоко хорошо усваивается его организмом.
Симптомы:
- Ребенок много капризничает, плачет;
- Малыш часто тужится, но «результат» нулевой;
- Любая попытка опорожнить кишечник сопровождается криком;
- Кал твердый, либо имеет вид горошка, либо первая его порция похожа на «пробку», а за ней следует кашицеобразная масса.
Причины запора у грудничка
- При грудном вскармливании запоры может вызвать пристрастие мамы к белковой пище (творог, мясо), к мучным изделиям (белый хлеб, выпечка), к кофе или чаю;
- При искусственном вскармливании — неправильный выбор или неправильное приготовление смеси.
Как помочь малышу:
- Маме следует свести к минимуму потребление перечисленных выше продуктов (кроме мяса, которое необходимо съедать в количестве не меньше 100 г в сутки);
- Есть больше продуктов с клетчаткой (овощи и зелень);
- Делать массаж животика;
- Если причина в смеси — согласовать новую с педиатром;
- Изредка ребенку можно ставить клизму. А вот слабительное — даже в минимальных дозах — давать младенцам нельзя! В любом случае, если состояние малыша вызывает у вас беспокойство, следует проконсультироваться с врачом.
Когда следует беспокоиться:
- Уменьшается количество мокрых подгузников;
- Уменьшается вес ребенка.
Все это говорит о том, что малыш не получает питания в достаточном количестве.
Оценка состояния слизистой оболочки.
Описание неизмененной слизистой оболочки должно производиться с учетом приведенных ниже эндоскопических признаков.
Цвет
В зависимости от световой характеристики источника света слизистая оболочка может иметь либо бледно желтый, либо белый цвет с жемчужным отливом, либо слегка розовую окраску. Изменения цвета слизистой оболочки происходят вследствие ее инфильтрации или ее гиперемии.
Блеск
Нормальная гладкая слизистая оболочка хорошо отражает свет, блестит. Данный блеск обусловлен светлой слизью, ровным слоем покрывающей стенки кишки. Из-за мелкой волнистой циркулярной исчерченности слизистой оболочки толстой кишки отсутствие указанной смазки делает слизистую оболочку матовой.
Характер поверхности
В норме поверхность слегка исчерченная, но гладкая. Малейшие бугорки, изъязвления, выбухания указывают на патологические изменения.
Сосудистый рисунок
При раздувании толстой кишки хорошо виден сосудистый рисунок, образованный подслизистыми артериальными разветвлениями (сопутствующие вены не видны, так как они сдавлены введенным воздухом). Изменения сосудистого рисунка могут носить разнообразный характер.
Он может быть усилен и тогда становятся видимыми мелкие разветвления артерий (необходимо помнить, что похожие изменения могут быть вызваны перерастяжением).
Отсутствие подслизистого сосудистого рисунка указывает на утолщение слизистой оболочки, либо на подслизистый отек. Для атрофических изменений характерна перестроенность сосудистого рисунка по типу ангиом, звездочек или сосудистых сплетений, выраженность венозного рисунка.
Наложения
Как правило, на нормальной слизистой оболочке толстой кишкиможет скапливаться слизь либо в виде озерец, либо в виде светлых комочков. Уплотнение этих наложений, примесь гноя, фибрина, некротических масс указывает на патологические изменения в слизистой оболочке кишки.
Дифференциальная диагностика
Полип прямой кишки нужно отличать от другой патологии органов малого таза, такой как:
- липома (может находиться в подслизистом слое правой половины ободочной кишки или, если вырастает до крупных размеров, то по всей кишке);
- опухоль неэпетилиального размера (у них нет ножки);
- миома большого размера (разрастание в мышечном слое, создает трудности в проходимости кишечника, встречается редко);
- ангиома, сосудистые опухоли;
- актиномикоз ободочной кишки;
- болезнь Крона (размещается в верхних отделах толстого кишечника, может проявиться псевдополипозом).
Чтобы правильно диагностировать это заболевание, необходимо провести гистологический анализ.






























