Проявления
Овариальные кисты небольших размеров протекают бессимптомно и нередко являются случайной находкой на гинекологическом осмотре или УЗИ. Клиническая картина во многом зависит от происхождения образования, но имеется ряд общих признаков при его значительных размерах:
- Болевой синдром. Как правило, боли обусловлены осложнением овариальной кисты (разрыв, перекрут ножки, нагноение). Кисты больших размеров обуславливают возникновение болей внизу живота, справа или слева (в зависимости от локализации) постоянным давлением на близлежащие органы. Такие боли постоянные, ноющие или тянущие, могут отдавать в ногу и/или поясницу. Отмечается усиление болей и возникновение тошноты и рвоты после физических нагрузок, полового акта, подъема тяжестей.
- Увеличение живота, изменение его формы. Большие кисты яичника ведут к увеличению живота за счет их значительных объемов, нередко наблюдается асимметрия живота (например, при кисте правого яичника живот увеличен справа). Также живот может увеличиваться за счет асцита (скопление жидкости в абдоминальной полости).
- Синдром сдавления соседних органов/сосудов. Растущее овариальное образование сдавливает мочевой пузырь, что проявляется дизурическими нарушениями: учащение мочеиспускания, болезненность, трудности при опорожнении мочевого пузыря. Давление на прямую и сигмовидную кишку провоцирует запоры и боли, отдающие в задний проход. Сдавление кровеносных сосудов в полости таза ведет к застою крови в венах нижних конечностей и таза и развитию их варикозного расширения.
- Расстройства менструального цикла. Возникают при гормонально-активных кистах яичника. Отмечается нерегулярность, обильность и длительность менструаций, возможно возникновение ациклических маточных кровотечений. При формировании фолликулярной кисты яичника появляются кровянистые выделения в середине цикла, что связано с несостоявшейся овуляцией, при лютеиновой кисте – задержка менструаций. Киста, секретирующая андрогены ведет к огрубению голоса, гирсутизму (рост волос на теле/лице по мужскому типу), увеличению клитора, снижению либидо.
Влагалищные выделения при овариальной кисте остаются неизменными, либо уменьшатся или увеличивается их объем в зависимости от происхождения образования и его гормональной активности. Повышение температуры тела характерно только при развитии осложнений, график базальной температуры однофазный, без характерных пиков повышения и снижения показателей. Жжение во влагалище и появление гноевидных выделений с неприятным запахом свидетельствует о вагините. Нагрубание молочных желез и прочие признаки предменструального синдрома имеет место при кисте желтого тела.
Киста яичника и беременность
Функциональные кисты яичников, как правило, имеют небольшие размеры и не препятствуют наступлению беременности. В процессе гестации происходит гормональная перестройка организма, что часто ведет к самопроизвольному рассасыванию новообразования. При наличии овариальных кист значительного объема рекомендуется избавиться от патологии на этапе планирования беременности ввиду высокого риска развития осложнений (чаще выполняется эндоскопическое удаление образования). Планировать зачатие следует не ранее чем через полгода после операции. В ряде случаев гормонально-активные кисты даже небольших размеров препятствуют наступлению беременности, поэтому лечение включает их удаление с последующей гормонотерапией. После удаления одного из яичников с кистой возможно развитие бесплодия, в данном случае прибегают к методу ЭКО. Беременность после излеченной овариальной кисты протекает без особенностей, но требует тщательного наблюдения.
В случае наступления беременности и одновременного обнаружения овариального новообразования больших размеров женщину ведут как угрожаемую по невынашиванию и развитию осложнений кисты (растущая матка может вызвать перекрут ножки кисты или ее разрыв). Ведение беременности включает назначение профилактических курсов сохраняющей терапии и УЗИ чаще, чем 3 раза за гестацию (контроль возможного роста образования). Плановое удаление кисты откладывается на послеродовый период. При росте образования, перекруте его ножки или разрыве проводится операция независимо от срока гестации. Наличие кисты не влияет на развитие плода, но родоразрешать беременных с больших новообразованиями яичников некоторые акушеры предпочитают кесаревым сечением с одновременным иссечением кисты.
Как лечить кисту яичника
Если киста яичника сохраняется в течении более, чем 3 менструальных циклов, можно с уверенностью сказать что это не функциональное образование и она сама собой не «рассосется». И женщина, и хирург всегда беспокоятся о доброкачественности образования, которое не зависит от ее размера. В помощь в этом случае будут анализ крови на СА125 и УЗИ малого таза, но окончательный ответ сможет дать только специальное исследование удаленных тканей — гистология. В некоторых случаях при наличии противопоказаний к операции, наблюдать небольшие кисты можно, но только при условии нормального уровня СА125, регулярного (раз в 12 недель) УЗИ и консультации гинеколога.
Лечение кисты яичника без операции
При неосложненных формах возможно лечение кисты без операции — применяются монофазные и 2-х фазные оральные контрацептивы. Назначаются витамины А, Е, В1, В6, К, аскорбиновая кислота. В некоторых случаях (за исключением дермойдов и эндометриойдных образований, кистом значительного размера) может быть эффективно лечить кисту яичников народными средствами, в том числе и в домашних условиях.
В частности в некоторых конкретных случаях специалисты в отзывах говорят о положительной роли иглорефлексотерапии, гомеопатических препаратов, постановки пиявок в заданные зоны и других методов лечения гинекологических заболеваний.

Хирургическое лечение
Значительные размеры, отсутствие результатов консервативного лечения, быстрый рост, вероятность разрыва или наличие перекрута ножки, или наличие эндометриойдной кисты являются показаниями к проведению оперативного вмешательства. Для удаления кист яичников в большинстве случаев используется способ лапароскопии. При дермоидных, эндометриоидных, муцинозных видах оправдана только хирургическая тактика — удаление эндоскопическим методом в условиях отделения оперативной гинекологии.
При осложнениях, например, разрыве или перекруте ножки, должна быть оказана неотложная хирургическая помощь — при возникновении внезапной острой боли в области живота необходимо вызвать бригаду скорой помощи.

В детском, подростковом и детородном возрасте для удаления кисты производится резекция яичника, с сохранением неизмененного участка. В предменопаузальный период проводят удаление матки (гистерэктомия) с придатками или удаление яичников (овариоэктомия). Операции могут быть проведены как обычным способом, так и эндоскопически. После хирургического вмешательства с целью реабилитации репродуктивных органов проводят восстановительное лечение.
Цены на удаление кисты яичника в разных клиниках Москвы различаются. В прайс-листе ниже указана стоимость лапароскопии для удаления образований в гинекологическом стационаре (включая пребывание). Узнайте у врача на консультации, какие анализы нужны перед операцией, как правильно подготовиться. Предварительная запись к врачу гинекологу-эндокринологу по телефону или онлайн на сайте круглосуточно.
home
Куда обратиться в Москве
Если есть подозрение или уже установлен диагноз кисты на яичниках, наша клиника и её специалисты имеют большой опыт в устранении данного заболевания. В зависимости от причины и вида образования, врачи используют широкий спектр доступных средств. Помимо общепринятых способов терапии подобной патологии (медикаментозный, гормональный и т.п.) по показаниям используются проверенные временем и многолетней практикой эффективные средства, в том числе «народные» (они помогут только при функциональном образовании).
Стоимость услуг
| Лечение кисты яичника | Цена ₽ |
|---|---|
| Прием специалиста | 3 500 |
| Составление схемы лечения | 3 000 |
| Простая кольпоскопия | 1 500 |
| Анализ крови на гормоны | 550 |
| УЗИ органов малого таза | 3 000 |
| Анализ на онкомаркер СА 125 | 950 |
| Лечение пиявками | 3 500 |
| Капельница Лаеннек (5 амп.) | 17 000 |
| Анализ крови на ХГЧ | 850 |
| Операция удаления кисты яичника (резекция), от | 105000 |
| Лапароскопия кисты яичника, от | 95 000 |
Виды ретенционных образований
Ретенционные образования можно разделить на несколько видов:
- Киста жёлтого тела — является образованием из жёлтого тела, расположенного в яичниках, функция которого заключается в выделении гестагена (женского полового гормона), который отвечает за подготовку матки к размещению оплодотворенной яйцеклетки, что происходит в один из дней менструального цикла.
- Фолликулярная киста — образование из фолликула. В норме фолликулы, содержащие яйцеклетку, должны разорваться при её созревании, высвобождая её из яичника. Иногда этот процесс дает сбой, фолликул может не лопнуть, и на его месте появляется кистозное образование.
- Параовариальная киста, возникающая в придатке яичника. Коварность этого кистозного образования заключается в его медленном росте, отсутствии каких-либо симптомов, а потому сложности раннего диагностирования. Такая киста может достигнуть огромных размеров, её вес может достигать нескольких килограмм.
- Эндометриоидная киста, диагностируемая на фоне развития эндометриоза — процесса возникновения доброкачественных разрастаний за пределы матки. Характерными симптомами такого кистозного образования являются тошнота, боли внизу живота во время менструации, нередко потеря сознания.
Лечение
Большинство кист яичника до 5 см являются функциональными, они не нуждаются в специальном лечении и проходят самостоятельно. При этом женщине проводится серия ультразвуковых исследований для наблюдения за кистой. Это называется выжидательной тактикой. Такая тактика может распространяться на кисты до 8 см у женщин репродуктивного возраста с повторным УЗИ-исследованием через 8-12 недель.
Исследования показали, что гормональные препараты (комбинированные оральные контрацептивы — КОК) могут предотвратить образование новых кист, однако не влияют на скорость регрессии уже существующих. Поэтому их назначение не показано. Так же, как назначение различных БАДов, фитопрепаратов и других вспомогательных средств лечения.
Медикаментозное
Как было сказано выше, некоторым группам пациентов могут назначаться гормональные препараты из группы комбинированных оральных контрацептивов для предотвращения образования новых кист. При этом следует учитывать, что эти препараты противопоказаны лицам с сердечно-сосудистыми заболеваниями и повышенным риском тромбоэмболических осложнений.
Важно! Риск тромбоэмболических осложнений резко повышается у лиц с избыточным весом, курящих, при наличии таких осложнений у родственников. Это также следует учитывать при назначении КОК
Физиотерапия
Физиотерапевтические методы лечения используются в послеоперационном периоде для ускорения восстановления нормальной функции яичника, а также в качестве вспомогательного лечения функциональных кист в период ремиссии. При этом пациентке может назначаться:
- магнитотерапия,
- фонофорез,
- CMT-терапия,
- лазеротерапия,
- иглорефлексотерапия,
- радоновые ванны и т.п.
Хирургическое
По словам хирургов, лучшая операция — та, которой удалось избежать. Необоснованные операции на яичниках могут нарушить гормональный баланс в организме женщины и привести к неблагоприятным последствиям — например, раннему климаксу. Поэтому к вопросу оперативного лечения подходят очень тщательно.
Оперируют функциональные кисты размером свыше 5 см (до 8 см у женщин репродуктивного возраста), которые в процессе наблюдения самостоятельно не уменьшались, те, которые росли, и кисты с подозрением на злокачественный характер. При этом выделяют несколько видов объема оперативного вмешательства:
- Кистэктомия — удаление непосредственно кисты. Может проводиться миниинвазивно (с несколькими очень маленькими разрезами) — лапароскопически (рис. 4), и открыто — лапаратомически. Лапароскопически удаляются небольшие (до 10 см) кисты и кисты, которые считаются доброкачественными. Доброкачественные кисты более 10 см оперируются открыто. При подозрении на злокачественный характер образования удаляется весь яичник.
- Резекция яичника и гистерэктомия — удаление матки с придатками.Выполняется при злокачественных опухолях яичника для предотвращения роста и метастазирования опухоли.
Важно! Удаление одного яичника при наличии соответствующих показаний не приводит к бесплодию. Вышеперечисленные хирургические вмешательства являются плановыми — их планируют заранее с лечащим врачом после определения показаний
Существуют и неотложные хирургические вмешательства — оказание немедленной медицинской помощи женщине при осложнениях — разрывах кисты и перекрутах ножки кисты
Вышеперечисленные хирургические вмешательства являются плановыми — их планируют заранее с лечащим врачом после определения показаний. Существуют и неотложные хирургические вмешательства — оказание немедленной медицинской помощи женщине при осложнениях — разрывах кисты и перекрутах ножки кисты.
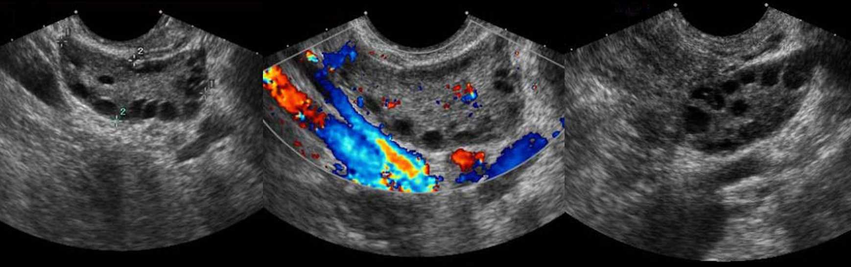
Поликистозные яичники на УЗИ
При сочетании гиперандрогении и хронической ановуляции говорят о синдроме поликистозных яичников (СПКЯ). У пациентов с СПКЯ олигоменорея, бесплодие, гирсутизм и ожирение. Требуется исключить другие причины — врожденная гиперплазия надпочечников, синдром Кушинга, андрогенсекреторная опухоль.
УЗИ критерии поликистозных яичников: процесс всегда двусторонний; яичники увеличены > 10 см³; в каждом яичнике более 25 (критерии Роттердама более 12) фолликулов; размер фолликулов от 2 до 9 мм. Другие морфологические особенности:
- наружные отделы коркового слоя склерозированы — гиперэхогенная «скорлупа»;
- центральная зона расширена, гиперэхогенная, дольчатого строения за счет фиброзно-склеротических тяжей;
- между склерозированной капсулой и мозговым веществом располагаются небольшие фолликулы, часто по типу «жемчужного ожерелья»;
- наружный слой большинства фолликулов гиперплазирован — фолликулярный гипертекоз.
Во время овуляции доминантный фолликул должен прорваться и освободить яйцеклетку. При СПКЯ патологическая «скорлупа» препятствует полноценной овуляции и наступлению беременности. Предполагают возможность подкапсульной овуляции, когда фолликулярная жидкость не покидает пределов яичника. Некоторые авторы считают термин склерокистоз яичников более точным.
При функциональных поликистозных яичниках фиброзная капсула отсутствует, объем мозгового вещества не меняется, ановуляция происходит из-за гормональных нарушений фолликулогенеза, а после гормональной коррекции наступает беременность. При СПКЯ гормонотерапия неэффективная, беременность наступает только после каутеризации яичников.
Рисунок. Пациентка с жалобами на олигоменорею и неспособность к зачатию. На УЗИ оба яичника увеличены, гиперэхогенная капсула, мозговая зона расширена, гиперэхогенная, по периферии анэхогенные округлые образования, размером 3-8 мм. Заключение: Эхо-картина может соответствовать склерокистозу (синдром поликистозных яичников).

Нефункциональные кисты яичников на УЗИ
Нефункциональные кисты не реагируют на циклические гормональные изменения. Такие кисты могут происходить из тканей яичника, например, эндометриома, или имеют не яичниковое происхождение, например, параовариальные и перитонеальные кисты.
Симптомы ретенционных кист яичников
Существуют общие симптомы при имеющихся ретенционных кистах в правом и левом яичниках. Это изменения гормонального фона, нарушение репродуктивной функции, сбой менструального цикла, боли внизу живота и увеличение его объема. Однако есть и некоторые различия в симптоматике ретенционных кист в правом либо левом яичнике.
Ретенционное образование левого яичника, симптомы
При имеющейся ретенционной кисте левого яичника методом пальпации левой подвздошной области можно определить присутствие опухолевидного образования, при разрыве которого возникает напряжение мышц брюшной стенки, иначе называемое клиникой острого живота и являющееся причиной острых болей в левой половине живота.
Ретенционное образование правого яичника, симптомы
Ретенционное образование правого яичника также является объемным образованием, прощупываемым справа в подвздошной области. Пациентку могут беспокоить ноющие боли в нижней правой части живота. Сильно увеличенное в размерах данное образование правого яичника часто приводит к нарушению пищеварения и проблемам желудочно-кишечного тракта.
Лечение фолликулярной кисты яичника
При малых размерах пузыря и отсутствии симптоматики лечение фолликулярной кисты не требуется. Назначается наблюдение у гинеколога с УЗИ-контролем. Зачастую это образование самостоятельно исчезает через 2-3 цикла.
В большинстве остальных случаев требуется консервативное лечение. Если киста не уменьшается либо размер ее продолжает увеличиваться, назначается прием оральных контрацептивов, витаминов и противовоспалительных препаратов.
Если же диаметр фолликулярной кисты составляет 80 мм и более, показано вылущивание пузыря с ушиванием стенки, а в осложненных случаях может потребоваться резекция яичника. Операции в большинстве случаев проводят лапароскопически, без полостного разреза. При перекруте ножки кисты яичника, разрыве ее стенок проводится экстренное оперативное вмешательство. Нарушение кровообращения в яичнике является показанием для удаления органа.
Согласно данным медицинской статистики, чаще диагностируется фолликулярная киста правого яичника. Это связано с особенностями кровоснабжения левого придатка: фолликулы там созревают реже, чем в правом яичнике, поэтому и кисты формируются редко.
Успешное безоперационное лечение фолликулярной кисты яичника с сохранением придатка матки возможно в случае раннего обнаружения патологии и при своевременности консервативной терапии. Для ранней диагностики кисты следует регулярно посещать гинеколога и делать профилактическое УЗИ. Если же отмечаются нарушения цикла, появились боли в животе и другие неприятные симптомы, запишитесь на прием к гинекологу нашего Центра по телефонам: +375 (29) 1-639-888, +375 (29) 2-311-888, +375 (17) 3-611-888. Либо оставьте заявку на сайте.
Специалист проведет все необходимые обследования, в том числе УЗИ, назначит лечение и наблюдение в динамике. Доброжелательность медицинского персонала и индивидуальный подход обеспечивают комфортные условия для наших уважаемых пациенток.
Ждем вас в HappyDerm!
Прогноз после излечения кисты яичника
Необходимо знать то, что после лечения дермоидные кисты заново никогда не вырастают, тогда как цистаденомы могут образовываться, но очень редко. Что касается функциональных кист, то они могут возникать до тех пор, пока функция яичника остается активной. Какого-либо оперативного лечения такой вид образования не требует. Чаще всего повторный процесс образования характерен для эндометриоидных кист. Однако при правильном лечении первой кисты, риск образования повторных значительно снижается.
В любом случае прогноз остается утешительным, важно только вовремя диагностировать заболевание.
Причины кист яичников
Кисты яичников часто развиваются без видимой причины у женщин детородного возраста (имеющих менструации). Среди множества кист яичников выделяют две основные группы:
- Функциональные кисты – формируются в ходе нормального менструального цикла и, как правило, не представляют никакой опасности. Это наиболее распространенный вариант кист.
- Патологические кисты – это опухоли яичников, которые могут быть как доброкачественными, так и злокачественными (раковыми).
Причины функциональных кист яичников
Среди функциональных кист различают два типа:
- фолликулярные кисты;
- лютеиновые кисты (кисты желтого тела).
Фолликулярные кисты — это наиболее распространенные кисты яичников. Каждый месяц в яичнике женщины созревает яйцеклетка, которая по маточным трубам перемещается в матку, где может произойти оплодотворение. В яичнике, каждая яйцеклетка развивается в крошечном образовании, которое называют фолликулом. В фолликуле содержится небольшое количество жидкости, которая защищает растущую яйцеклетку от повреждений. При высвобождении созревшей яйцеклетки фолликул разрывается.
Но иногда выхода яйцеклетки из фолликула не происходит, и он сохраняет целостность. Или в фолликуле задерживается жидкость, и после выхода яйцеклетки он не сморщивается. В таких случаях, фолликул продолжает накапливать жидкость и со временем увеличивается в размерах. Такой переполненный жидкостью фолликул и называют фолликулярной кистой.
За один менструальный цикл обычно образуется только одна фолликулярная киста. Как правило, она исчезает самостоятельно, без постороннего вмешательства в течение нескольких недель.
Лютеиновые кисты (их еще называют кисты желтого тела) встречаются реже. Они формируются на месте лопнувшего фолликула, когда образование, оставшееся после выхода яйцеклетки (желтое тело) наполняется кровью. Чаще всего лютеиновые кисты исчезают самопроизвольно в течение нескольких месяцев. Но иногда происходит разрыв кисты с возникновением сильной боли и внутреннего кровотечения.
Причины патологических кист яичников
У женщин моложе 40 лет наиболее распространенным вариантом патологических кист являются дермоидные кисты. У женщин старше 40 лет преобладают цистаденомы.
Дермоидные кисты развиваются из тех же клеток, из которых в норме формируются яйцеклетки. Также как яйцеклетка может давать начало разным типам тканей, дермоидная киста может состоять из самых различных элементов: костей, волос, крови и жира. Дермоидные кисты могут достигать очень больших размеров. Иногда они вырастают до 15 см в диаметре. Как правило, они не являются злокачественными, но часто требуют хирургического лечения.
Цистаденомы развиваются из клеток, покрывающих яичники снаружи. Их можно подразделить на 2 большие группы:
- серозные цистаденомы;
- муцинозные цистаденомы.
Серозные цистаденомы редко вырастают до больших размеров, но иногда могут разрываться, что приводит к появлению соответствующих симптомов. Напротив, муцинозные цистаденомы часто достигают значительных размеров — до 30 см в диаметре. Они оказывают давление на расположенные рядом органы (мочевой пузырь и прямую кишку), что проявляется нарушением пищеварения и частыми позывами к мочеиспусканию.
Большие муцинозные цистаденомы могут разрываться или перекручиваться, нарушая приток крови к яичнику). Как и дермоидные, муцинозные цистаденомы изредка перерождаются в злокачественные опухоли.
Состояния, предрасполагающие к появлению кист
В некоторых случаях образование кист в яичниках может быть вызвано такими заболеваниями как: эндометриоз или синдром поликистозных яичников (СПКЯ).
Эндометриоз — это заболевание, при котором части внутренней оболочки матки (эндометрия) оказываются за пределами матки: в маточных трубах, яичниках, мочевом пузыре, во влагалище, прямой кишке или других внутренних органах. В этих местах могут образовываться заполненные кровью кисты.
Ведущие специалисты по лечению функциональной кисты на Северном Кавказе
Ермолаева Эльвира Кадировна
Известный и признанный на Северном Кавказе специалист в области неоперативного лечения крупных, персистирующих и рецидивирующих функциональных кист яичника у девочек, девушек и женщинХороший гинеколог, физиотерапевт-курортолог, врач УЗД К ней обращаются для лечения функциональной кисты БЕЗ ОПЕРАЦИИ и без гормонов
Ермолаев Олег Юрьевич
Кандидат медицинских наук, гинеколог-эндокринолог с 25-летним стажем и успешным опытом неоперативного лечения ретенционных и функциональных кист яичников, восстановления функции яичников и регулярной овуляцииСпособен видеть взаимосвязи, которые ускользают от остальных
![]() |
МЕЖДУНАРОДНЫМ ПРИЗНАНИЕМ репутации и достижений Курортной клиники женского здоровья в разработке и внедрении эффективных и безопасных лечебных методик и качества предоставляемых медицинских услуг ЯВЛЯЕТСЯ НАГРАЖДЕНИЕ Курортной клиники женского здоровья в Пятигорске Международным СЕРТИФИКАТОМ КАЧЕСТВА SIQS в сфере медицины и здравоохранения. Международный Сократовский Комитет, Оксфорд, Великобритания и Швейцарский институт стандартов качества, Цюрих, ШВЕЙЦАРИЯ. |
Курортная клиника женского здоровья работает по платным услугам и в системе добровольного медицинского страхования.
Каждый врач Клиники имеет длительный опыт работы, несколько специализаций и способен всесторонне оценить ситуацию.
Курортная клиника женского здоровья работает БЕЗ ВЫХОДНЫХ и праздничных дней:
понедельник — пятница с 8.00 до 20.00,
суббота, воскресенье, праздничные дни с 8.00 до 17.00.
8 (800) 500-52-74+7 (928) 022-05-32info@kurortklinika.ru
|
Задать ВОПРОС ОНЛАЙН гинекологу здесь. ЗАПИСЬ ОНЛАЙН на лечение здесь. ЗАПИСЬ по интернету на лечение по info@kurortklinika.ru. Бронирование курсовки по телефону 8 (800) 500-52-74 (звонок по России бесплатный). |
![]()
Мы в ПОЛНОМ вашем РАСПОРЯЖЕНИИ при возникновении любых сомнений или пожеланий.
- Хороший гинеколог в Пятигорске
- Профилактика женских болезней
- Профилактика женских болезней в детском возрасте
- Контрацепция
- Как подготовиться к приему гинеколога?
Прогноз
Поскольку цистаденома яичников является доброкачественным новообразованием, прогноз в абсолютном большинстве случаев благоприятный. Пристального контроля требуют пограничные папиллярные серозные цистаденомы, так как они обладают потенциалом к злокачественному перерождению. Кроме того, цистаденомы имеют склонность к рецидивированию, особенно, если не устранены факторы риска, способствующие их образования. Поэтому женщинам, у которых были выявлены доброкачественные новообразования яичника, необходимо не только регулярное наблюдение у гинеколога, но и терапия, направленная на коррекцию сопутствующих заболеваний: приём комбинированных оральных контрацептивов, лечение хронических воспалительных заболеваний органов малого таза, нормализация диеты.
До недавнего времени наличие объёмного образования яичника, к которым относится и цистаденома, являлось показанием к его оперативному удалению. На данный момент выделены клинические ситуации, в которых предпочтительнее активное динамическое наблюдение или консервативное лечение. Таким образом, очень важна грамотная оценка рисков и разработка индивидуализированной тактики ведения пациенток с цистаденомами, и именно это готовы вам предложить врачи «Евроонко».
Запись на консультацию круглосуточно
+7 (495) 668-82-28
Список литературы:
- Диагностика и лечение доброкачественных новообразований яичников с позиции профилактики рака. Клинические рекомендации, 2018 год.
- Царева Е.В. и соавт. Опухоли яичников (клинический случай). Бюллетень медицинских интернет-конференций. 2017, том 7, № 6. С. 802.
- Шавладзе З.Н. и соавт. Пограничная серозная папиллярная опухоль яичников: собственное наблюдение и краткий обзор литературы. Опухоли женской репродуктивной системы. 2012, № 1. С. 117-120.
- Кедрова А.Г. и соавт. Клинико-молекулярные аспекты муцинозных опухолей яичников: этиопатогенез, индивидуализация лечения. Клиническая практика. 2010, № 3. С. 20-31.
- Гребёнкин Б.Е., Палакян Л.П. Малоинвазивные методы лечения больных с опухолевидными образованиями яичников. Пермский медицинский журнал. 2008. Том 25, № 1. С. 45-48.
Лапароскопия
Во многих случаях лапароскопия является и диагностикой, и одновременно лечением в полном объеме. Точность лапароскопической диагностики опухолевых образований яичника превышает 95%.
Это самая достоверная лечебно-диагностическая процедура, щадящая операция, которая проводится через 3-4 маленьких разреза на коже. В настоящее время подавляющее большинство операций на яичниках делается лапароскопически. Это позволяет максимально сохранить здоровую ткань яичника, провести дополнительные манипуляции, например оценить проходимость маточных труб при бесплодии или обнаружить эндометриоз, а также обеспечивает легкое течение послеоперационного периода и сохраняет шансы женщине родить здорового ребенка.






























