Кровоток в щитовидной железе
Щитовидная железа – орган, входящий в эндокринную систему организма. Железа ответственна за синтез тиреоидных гормонов – тироксина и трийодтиронина, регулирующих обмен веществ, процессы роста, функционирование нервной системы и репродуктивных органов.
Щитовидка расположена в передней области шеи на 5–6 см ниже подбородка. Задняя поверхность органа прилегает к нижней части гортани и трахеи. Железа покрыта соединительнотканной капсулой, проникающей внутрь и разделяющей паренхиму органа на дольки. Функциональной единицей является фолликул – замкнутый пузырек, содержащий коллоид.

Кровь поступает к железе от сонных артерий по парным щитовидным артериям (верхним и нижним), которые разветвляются в паренхиме органа на мелкие ветви, переходящие в артериолы и капилляры. Сеть внутренних сосудов чрезвычайно развита, капилляры оплетают фолликулы, принося питательные вещества и кислород, параллельно забирая продукты обмена и гормоны.
Формы болезни
Встречаются несколько разновидностей гипоэхогенных образований:
- Узловое уплотнение. Имеет округлую формы, развивается из железистой ткани. Их развитие происходит по причине недостаточного поступления в организм ионов йода.
- Образование, имеющее нечеткие контуры. Может оказаться коллоидным зобом, злокачественным новообразованием. Но часто недостаточно четкие контуры являются признаком узлов, которые образовались недавно. В таком случае данным признак является довольно благоприятным.
- Изоэхогенное образование щитовидной железы с гипоэхогенным ободком. Это часть нормальной ткани органа, который окружает определяемый контур, указывающий на то, что там имеется узел. Ободок формируется как результат увеличения объема кровотока, а также рост сети капилляров по периметру фрагмента нормальной ткани.
- Узел с неоднородной структурой. За такую особенность его строения ответственны отек новообразования и/или его воспаление.
- Образование с кровотоком является наиболее часто встречающейся формой патологии. Такая особенность говорит о склонности узла к изменению внутренней структуры и делению. Участки усиленного кровотока могут локализоваться на разных участках образования.
Изоэхогенное новообразование, имеющее периферический гипоэхогенный ободок
Для того, чтобы точно дифференцировать формы патологии друг от друга, специалист УЗИ должен обладать достаточным опытом.
Клиническая картина
Если изоэхогенный узел еще небольшой, то обнаружить его самостоятельно достаточно сложно. При увеличении образования в размерах больной начинает ощущать на себе признаки его присутствия:
- сдавленность в горле,
- затруднение процесса глотания,
- трудности дыхания,
- болевые ощущения в районе уха и челюсти,
- нарушение сердечного ритма,
- чрезмерное потоотделение,
- быстрая утомляемость,
- перепады настроения.
На заметку! Изоэхогенные узлы в щитовидке, как правило, доброкачественные, однако не стоит их считать безопасными. Часто такие образования становятся причиной увеличения лимфоузлов, нагноений, воспалительных процессов. Узлы ухудшают состояние и функциональность органа и общее самочувствие больного.
Как подготовиться к процедуре
Ультразвуковое исследование щитовидной железы не требует особой подготовки. Необходимо освободить шею от украшений, снять шарф или шейный платок. Рекомендуется надевать одежду с открытым воротником или вырезом. Можно взять с собой полотенце, если сканирование проводится в муниципальном медицинском учреждении. Его рекомендуют подкладывать под голову, а потом им снять остатки геля с шеи.
Нет ограничений по времени приема пищи, по продуктам и специям. Рекомендации касаются только пожилых людей и детей. Им не надо есть незадолго до исследования, чтобы избежать тошноты, которую может вызвать надавливание на щитовидную железу датчиком.
Вся подготовка ребенка к проведению процедуры проходит в беседе, его родители готовят психологически: рассказывают, что это совсем не больно, что делают врачи, зачем это нужно.
Если сканирование проводится для определения эффективности лечения, необходимо принести результаты предыдущего УЗИ, чтобы врач оценил динамику изменений в железе.
Причины
Определенно, существует наследственная предрасположенность к болезням щитовидной железы. Давно замечено, что такими заболеваниями чаще страдают в одной семье. Обычно пациенты уже на первом приеме сообщают, что ближайшие кровные родственники имели проблемы со «щитовидкой». Женщины более подвержены заболеваниям ЩЖ, (в 10 раз чаще мужчин).
Отмечается связь между началом заболевания щитовидной железы и:
- перенесенным стрессом
- инфекцией
- интенсивным пребыванием на солнце
- неблагоприятными экологическими условиями
На фоне генетической предрасположенности, провоцирующие внешние факторы запускают патологический механизм, результатом которого становится заболевание щитовидной железы.
Диагностика
Если появились подозрения на узелки в щитовидке, то необходимо обратиться к врачу-эндокринологу, так как это полностью его сфера деятельности. Врач соберет анамнез, задаст необходимые вопросы по самочувствию, питанию, заболеваниях и наследственности, а также проведет пальпацию обеих долей щитовидки в области шеи.

Основными диагностическими процедурами при выявлении узлов и описания их характера выступают:
- ультразвуковая диагностика, при которой можно оценить структуру тканей, обнаружить образования;
- тонкоигольная аспирационная биопсия – взятие на анализ материала самих узлов, чтобы выяснить злокачественные они или доброкачественные;
- анализ на гормоны – сдается анализ на основные виды гормонов ТТГ, Т4 и Т3, также врач может назначить дополнительные исследования крови.
Перечисленные исследования направлены на выявление патологии и выяснение ее характера для того, чтобы назначить надлежащее лечение.
Профилактика узлов щитовидной железы
Для предупреждения формирования узлов и кист потребуется ежедневное употребление йода в пределах возрастной физиологической нормы. В меню потребуется включить витамины и продукты, содержащие йод, еще полезно употреблять в пищу йодированую соль. Также неотъемлемой частью профилактики формирования узлов и кист щитовидной железы будет недопущение инсоляции, избежание облучения. Положительное влияние оказывает и проведение физических процедур на области шеи.
После проведения лечебной терапии кисты щитовидной железы, потребуется проведение контрольных УЗИ один раз в год. Пациенты с маленькими размерами узлов и кист щитовидной железы, обязаны состоять на учете и проходить динамическое наблюдение у врача-эндокринолога.
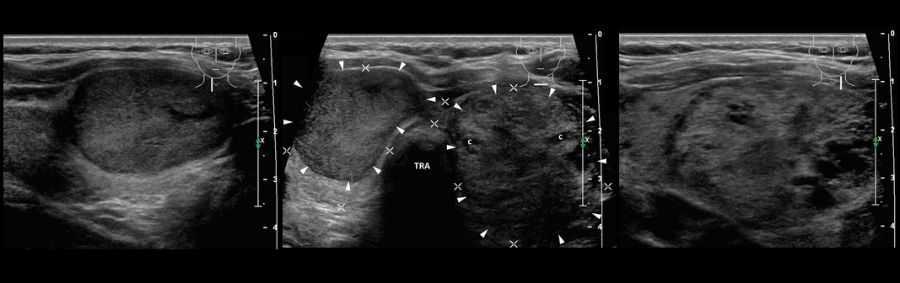
Что может определить УЗИ щитовидной железы
УЗИ щитовидной железы выполняется по определенному протоколу, который подразумевает выполнение нескольких этапов:
- Обзорное сканирование. С его помощью определяют топографию железы, ее эхогенную структуру и наличие патологических образований.
- Далее орган сканируется в четырех проекциях — нижняя поперечная, верхняя поперечная, средняя поперечная, а также правая и левая верхние проекции.
- Определяется объем железы.
- Если были обнаружены новообразования, их прицельно сканируют в разных режимах и с применением различных технологий, например, выполняют эластометрию, энергетическую допплерографию и др.
- Оценивается кровоснабжение железы и особенности вакуляризации новообразований, если они обнаружены.
- Если есть показания, например, при подозрении на рак щитовидной железы, выполняется сканирование экстраорганных структур, в частности регионарных лимфатических узлов.

В протоколе исследования отражаются следующие аспекты:
- Топография. В норме щитовидная железа располагается на передней поверхности шеи в нижней и средней трети.
- Объем и размеры органа и его отдельных анатомических частей — долей, перешейка.
- Описывается форма органа и ее контуры. В норме она имеет вид бабочки с четкими контурами.
- Эхогенная структура. В норме она должна быть однородной.
Если обнаружены патологические изменения, они детально описываются:
- Характер изменений — диффузный, очаговый.
- При очаговой патологии описывается количество очагов, их локализация, размер, наличие капсулы, особенности формы и контуров, эхогенность структуры.
- Описывается степень васкуляризации (кровоснабжения) очагов. Злокачественные опухоли, как правило, имеют обильную сеть кровеносных сосудов, и по этим признакам их можно дифференцировать от доброкачественных новообразований. Также применяется эластография, с помощью которой измеряются эластические свойства опухоли. При злокачественном процессе новообразование на порядок жестче, ее эластичность ниже в 18-28 раз.
Хирургическое лечение
Удаление кисты потребуется, если образование быстро увеличивается и уже превышает размер одного сантиметра, что приводит к давлению на органы шеи. В таких ситуациях проводится гемиструмэктомия — удаление одной доли щитовидной железы. Функция железы при использовании такого оперирования, в основном, сохраняется. При обнаружении кисты в обеих долях, назначается двусторонняя субтотальная струмэктомия — полное иссечение железы.
При выявлении злокачественного характера образования, потребуется проведение тотальной струмэктомии. В ходе оперирования производится удаление всей железы вместе с жировой тканью и лимфатическими узлами. Операция достаточно травматичная, но необходима для полного удаления раковых клеток. Самое распространенное последствие струмэктомии — это функциональное нарушение голосовых связок. После хирургического вмешательства пациент обязан принимать тиреоидные гормоны. Кроме этого, обязательно назначаются препараты кальция, так как при тотальной резекции удаляются и паращитовидные железы.
Во всех других случаях хирургическое вмешательство является способом, который позволяет пациенту не ощущать всех дальнейших симптомов заболевания и избежать осложнений. При доброкачественном характере заболевания производится частичная резекция ткани щитовидной железы, это не нарушает гормонального фона организма пациента.
Похожие и рекомендуемые вопросы
Гипоэхогенное образование Узи щж такая- контуры ровные, форма перешеек 0,15см. Правая…
Можно ли по этим результатам УЗИ предположить онкологию? Мне 25 лет. Я сделала УЗИ,…
Узлы по узи щитовидной железы Добрый день. После УЗИ щитовидной железы нашли узлы…
Как уменьшить узловые образования Подскажите, что можно принимать, если кол- узлов…
Щитовидная железа васкуляризация Здравствуйте! Мне 67 лет. 3 месяца назад сдала анализ…
Проблемы паращитовидной железы Полгода назад я сделала УЗИ щитовидной железы в эндокринологическом…
Операция или наблюдение Доброго времени суток, уважаемый доктор. Мне 32 года, половой…
Образования в левой доле щитовидной железы Сделала узи щит. Железы. Расположена типично,…
Узи щитовидной железы анализ результата Левая доля 6,0 перешеек 2 мм. Ширина 14, толщина…
Необходима расшифровка результатов анализов Доктор
У меня диффузное увеличение левой…
Проблемы с щитовидной железой При УЗИ щитовидной железы обнаружен гипоэхогенный узел,…
Узи щитовидной железы, расшифровка результатов У меня на узи щитовидной железы обнаружено:…
Мелкие узловые образования правой доли щ/ж Доктор! Помогите, пожалуйста, разобраться…
Тиреомегалия. Очаговые образования правой и левой доли щитовидной железы Прошла исследование…
Щитовидная железа 47 лет. Боли в области щитовидной железы при нажатии, про глотании….
Много узловой зоб Помогите разобраться! В 2015 году обнаружили много узловой зоб….
Анализы и УЗИ щитовидки в норме ли? Ваши рекомендации? Помогите пожалуйста с расшифровкой….
Помогите поставить диагноз Ухи щитовидной железы: правая доля 19• 14• 44…
Какие анализы надо сдать сейчас? В последнее время перед месячными стала болеть грудь….
Нужно ли лечение? Доктор! Помогите разобраться: результат ТТГ — 0,74, Т4 — 15,5, А-ТПО…
Когда идти к врачу
Каждому человеку следует периодически проводить самодиагностику узлов — это помогает определить необходимость дальнейшего обследования у эндокринолога (рис. 3)
Немедленно обратиться к врачу необходимо в случае:
- увеличения части щитовидной железы, которое определяется при прощупывании или визуально;
- боли в области шеи без видимых причин;
- увеличения шейных лимфоузлов;
- проблем с дыханием, глотанием, изменения голоса;
- симптомов гипо- или гипертиреоза.
Людям из групп риска, в том числе в возрасте старше 45 лет, рекомендуется раз в 1–2 года выполнять УЗИ щитовидной железы даже при отсутствии характерных жалоб.
Также записаться на обследование этого органа следует женщинам в момент планирования беременности, подготовки к родам и в послеродовом периоде — в моменты гормональной перестройки могут развиваться патологии щитовидки.
Опухолевидные гипоэхогенные образования в яичниках
Опухоли в яичниках составляют 25% всех образований в малом тазу у женщин. Любые проблемы подобного типа требуют незамедлительного реагирования. Только своевременный медицинский подход способен уберечь от осложнений.
Так киста яичника может быть разной. Такое доброкачественное образование может быть функциональным, дермоидным, эндометриоидным или это может быть цистаденома. Симптоматика кистозных проблем в половых органах разная, выделяют: нарушении менструального цикла, головные боли, тошноту, рвоту, болевой синдром при половом соитии, а также боль внизу живота и повышенную температуру тела.
Если киста образовалась из-за гормонального сбоя, то назначают медикаментозное лечение гормональными препаратами. Именно такая терапия провоцирует самостоятельное рассасывание образований. Индивидуально и правильно подобранные лекарства способны устранить проблему всего за 3-5 месяцев. Иногда в комплексе с основным лекарством назначают витамины и препараты, повышающие иммунитет. Когда образование выступает доброкачественной опухолью и самостоятельно сходить не желает, применяется хирургическое вмешательство. Лучший и самый безболезненный вариант – это современная лапароскопия. При помощи трех незначительных разрезов доктор удаляет проблему абсолютно бесследно. Послеоперационный период такой манипуляции минимален.
Если опухолевый процесс на яичнике имеет истинный характер, то могут назначить радикальную операцию. Иногда удаляют проблему вместе с органом
Чтобы избежать неприятностей подобного характера, важно вовремя обращаться за помощью к специалистам. Гипоэхогенное образование в яичнике не развивается слишком быстро
Пока не поздно, при первых же симптомах запишитесь на прием к врачу.
Если образование будет иметь незначительные размеры, то можно устранить его с помощью фармакологических препаратов. Если эффект достигнут не будет, возможна операция
Особенно важно избежать полного удаления яичника, ведь при таком исходе событий существенно ухудшается детородная функция пациентки. Постарайтесь следить за своим здоровьем и систематически посещать кабинет гинеколога
Что значит узловой зоб? Можно ли только на основании экологических данных выяснить, является ли узел доброкачественным или злокачественным?
Узловой зоб представляет собой очаговое очаговое поражение щитовидной железы — различных размеров, форм, структур и экоструктур, единичных или нескольких. Основной задачей ультразвука является обнаружение подозрительных узлов.
Многоузловой зоб
Узелок щитовидной железы может быть как доброкачественным, так и злокачественным. Большинство узелков являются доброкачественными (коллоидные узелки, кисты, аденомы, так называемые псевдокисты), но в 1-15 случаях РАС также обнаруживаются злокачественные образования — папиллярный рак, фолликулярный, медуллярный или анапластический.
Размеры опухоли являются переменными. Мы часто сталкиваемся с небольшими (до 1 см) злокачественными узлами, которые нельзя тестировать вручную (не пальпируемые узелки). Наиболее распространенным из злокачественных процессов является папиллярный рак (50-80%).
К сожалению, определить характер узловой формации только на основании экологических данных невозможно. Можно только предположить злокачественность процесса. Подозрение связано со следующими экологическими признаками:
- неправильные, нечеткие контуры узла;
- нарушенная эхогенность;
- микрокальцификация — точечная кальцификация в узле (хотя иногда это указывает на возраст узла, а не на злокачественность).
Специфичность одних только этих признаков не высока, но в случае одновременного обнаружения двух или более симптомов необходимо провести пункционную биопсию узла с цитологическим исследованием полученного материала.
Одна из важных особенностей опухоли — является васкуляризация или кровоснабжение узла. Большинство злокачественных узелков резко васкуляризованы, хотя есть и аваскулярные (бескровные) опухоли. Кроме того, усиленная васкуляризация обнаруживается в активно функционирующих (токсических) узлах, которые часто оказываются коллоидными, а не злокачественными. Таким образом, экологических данных недостаточно для подтверждения окончательного диагноза, но выявление потенциально опасных узлов — прерогатива врача-сонографиста.
ОНЛАЙН-ЗАПИСЬ в клинику ДИАНА
Вы можете записаться по бесплатному номеру телефона 8-800-707-15-60 или заполнить контактную форму. В этом случае мы свяжемся с вами сами.
Гемангиома
Гемангиомы многими авторами считаются самыми частыми доброкачественными сосудистыми опухолями печени мезенхимального происхождения, встречающимися в различных возрастных группах. Капиллярная гемангиома состоит из сплетения большого количества ветвящихся сосудов капиллярного типа с узким просветом и не обладающих направленным или с очень медленным кровотоком, 90% площади сосудистого русла составляют венозные каверны. Кавернозные гемангиомы встречаются чаще, чем капиллярные, в ряде случаев имеет место смешанный тип. По мнению большинства авторов, гемангиомы обычно не проявляются клинически и относительно чаще выявляются у женщин.
При УЗИ небольшие (до 3,0 см) гемангиомы выглядят как однородные гиперэхогенные образования с четкими контурами. В ряде случаев эхогенность гемангиом может быть снижена, а контуры выглядеть размыто. В некоторых гемангиомах может отчетливо визуализироваться псевдокапсула в виде гипоэхогенного ободка, что затрудняет их дифференциальную диагностику с метастазами. Перспективу улучшения диагностики многие исследователи проблемы связывают с применением внутривенного контрастирования специальными эхоконтрастными препаратами.
Капиллярная гемангиома печени — однородный гиперэхогенный очаг менее 3 см с четкими границами.
Две кавернозных гемангиомы печени.
Диагностика
Поскольку влияние гормонов ЩЖ на организм очень значимо и разнообразно, ее заболевания, несомненно, будут отражаться на функции всех органов, поэтому важна своевременная диагностика.
Обследование простое и весьма доступное.
Первый шаг – это прием врача эндокринолога, который включает беседу и осмотр. Как правило, при расспросе пациента можно выявить некоторые беспокоящие симптомы, которые заставляют думать о нарушении работы ЩЖ. Эти симптомы в большинстве своем неспецифичны и могут наблюдаться у многих больных, а иногда и здоровых в условиях стресса, усталости.
Вторым шагом, при обоснованном подозрении на нарушение функции или структуры ЩЖ является направление пациента на анализ крови для определения содержания тиреоидных гормонов.
- в крови определяют уровень Т4, Т3 (гормоны ЩЖ) и ТТГ (гормон гипофиза)
- нередко исследование дополняется определением в крови уровня различных антител к ЩЖ
При снижении работы самой ЩЖ — гормоны Т4 (в большей степени) и Т3 оказываются сниженными, а «гормон-начальник» (ТТГ) — повышен. Наоборот, при увеличенной продукции гормонов щитовидной железой, уровень Т4 и Т3 повышен, но ТТГ снижен.
Третьим шагом в диагностике необходимо визуализировать ЩЖ.
Самый простой, доступный и информативный метод — ультразвуковое исследование (УЗИ) ЩЖ, при котором определяется размер и структура ткани органа.
При этом, одно исследование не заменяет другое исследование. Осмотр, лабораторные и инструментальные обследования – три ключевых момента в диагностике заболеваний ЩЖ.
Существуют и более специализированные, нужные только в некоторых случаях, исследования:
Сцинтиграфия ЩЖ — использующийся метод при подозрении на активно функционирующие узловые образования в ЩЖ. Также может использоваться для дифференциальной диагностики в условиях тиреотоксикоза для подтверждения/исключения деструктивного тиреоидита.
Другие инструментальные методы обследования (МРТ, СКТ, ПЭТ) в рутинной клинической практике используются гораздо реже. Для дополнительного проведения этих методов обследования нужны веские основания.
Особенную важность представляет оценка функционального состояния щитовидной железы у беременной женщины в связи с тем, что развитие ребенка – в особенности, его нервной системы – зависит от уровня тироксина (основной формы тиреоидных гормонов) у будущей матери
Причины
В случае выявления сниженной эхогенности (гипоэхогенности) участка щитовидной железы, можно предположить у испытуемого следующие состояния:
- узлы;
- гипоплазию;
- диффузный зоб;
- новообразование;
Узловое новообразование glandula thyreoidea
У некоторых пациентов предполагается наличие генетически обусловленной склонности к образованию гипоэхогенных участков в тканях glandula thyreoidea.
Другими факторами риска для их появления являются следующие обстоятельства:
- сильные стрессы, носящие регулярный характер;
- лечение некоторыми разновидностями медикаментозных препаратов;
- наличие вредных привычек, таких как табакокурение и злоупотребление алкогольными напитками;
- неблагоприятные, с экологической точки зрения, районы проживания, в которых наблюдаются низкое содержание ионов йода в воде, высокий уровень радиации.
Также немаловажную роль может сыграть неполноценное нездоровое питание, заключающееся в недоедании, продолжительных строгих диетах, отсутствии баланса в рационе, низкое употребление даров моря, мяса и молочных продуктов.
Мясомолочные и рыбные продукты должны быть всегда в рационе для предупреждения развития узлов щитовидки
В каких случаях врач назначает обследование
Исследования щитовидной железы проводятся, если у лечащего врача или эндокринолога есть подозрения на заболевания железы, и когда при пальпации выявляются образования, не характерные для здорового органа.
Диагностика патологий имеет показания по следующей симптоматике:
- ощущение кома или першения в горле;
- кашель неясной этиологии;
- резкая потеря или набор массы тела;
- затруднение при глотании;
- эмоциональная нестабильность;
- выпадение волос;
- осиплость голоса;
- отеки;
- тремор рук;
- учащенный пульс, аритмия;
- бессонница, другие нарушения сна;
- колебания артериального давления;
- увеличение регионарных лимфоузлов;
- обильное потоотделение.
Эмоциональная лабильность при заболеваниях щитовидной железы может проявляться такой симптоматикой, как раздражительность, тревожность, нервозность, резкая смена настроения.
Ультразвуковое исследование назначают с профилактической целью людям, работающим с вредными производственными факторами, наследственной предрасположенностью к заболеванию. Процедура необходима пациентам после курса гормональных препаратов, больным сахарным диабетом, а также мужчинам и женщинам после 40 лет.
Женщинам эндокринологи и гинекологи рекомендуют проходить ультразвуковую диагностику при беременности и при ее планировании. Иногда гормональные нарушения и патология щитовидной железы — одна из причин невозможности забеременеть.
Исследование показано детям, перенесшим стресс, так как он может стать пусковым механизмом в развитии заболевания щитовидной железой.
Ощущение кома или першения в горле, многим людям, давно страдающим заболеванием щитовидной железы, знакомо это неприятное ощущение.
Как обнаружить гипоэхогенное образование в яичнике?
Ультразвуковое исследование самый популярный и эффективный метод диагностики образований малого таза. Специальный датчик создает колебания высокой частотности и посылает их к тем тканям организма, которые необходимо исследовать. Отраженные от органов частоты датчик воспринимает обратно и выводит в виде изображения на экран, превращая в картинку. Ультразвуковое исследование попросту напоминает эхо, потому часто в медицинской практике такую диагностику называют эхографией.
Лучше всего определить проблему гинекологического характера может врач
Вместе с УЗД важно проводить зрительный осмотр пациентки, анализировать жалобы и симптомы проблемы, обращать внимание на анатомические характеристики женщины, также необходимо учитывать частоту волн ультразвукового оборудования
Часто в конце ультразвуковой диагностики врачи пишут диагноз, связанный со сниженной эхо-плотностью. Такое высказывание расшифровывается просто. Гипоэхогенное образование в яичнике или матке на мониторе УЗД аппарата выглядит как темное пятно, выявляется сниженная акустическая плотность.





























