Что такое рентген брюшной полости?
Рентген брюшной полости – это неинвазивный, совершенно безболезненный метод медицинского исследования с помощью рентгеновских лучей. Современный рентген позволяет проецировать изображения внутренних органов четко и с наименьшим вредом для организма. Рентген брюшной полости показывает положение внутренних органов, а также их структуру и тонус. Проводит исследование врач-рентгенолог, который контролирует корректность процесса. Он же выдает пациенту заключение с результатами диагностики, которые затем необходимо показать врачу. Несмотря на высокую информативность современных рентгенологических методов исследования, для правильной постановки диагноза необходим осмотр врача, анализы и др. Как правило, рентген является завершающим этапом в составлении полной клинической картины.
Техника венесекции
Венесекция обычно проводится на периферической вене в случае, когда пункция вены не может быть проведена. Для этого после обработки рук и выбранного участка кожи накладывается жгут проксимальнее места прокола.
венесекция
После введения анестетика в кожу и подкожно-жировую клетчатку осуществляется разрез кожи. Под вену подводится хирургическая нить и осуществляется перевязка вены. Затем с помощью скальпеля производится короткий разрез венозной стенки проксимальнее нити. Нить убирается, а в место секции вставляется катетер. На кожу накладываются швы, которые через несколько дней снимают.
Почему болит спина?
В условиях малоподвижного образа жизни или наоборот длительного воздействия высоких физических нагрузок, при нарушениях осанки, походки, при избыточной массе тела ухудшается кровоснабжение межпозвонкового диска, ядро диска обезвоживается, его структура из гелеобразной превращается в волокнистую, ухудшается способность пружинить и гасить удары. По мере того, как волокна фиброзного кольца слабеют, пульпозное ядро начинает выпячиваться, например, в сторону межпозвоночного канала (протрузия диска). Фиброзное кольцо утрачивает свою прочность, возникает нестабильность позвоночника, что может приводить к формированию межпозвонковой грыжи. Параллельно с формированием межпозвоночной грыжи при остеохондрозе наблюдается повреждение межпозвоночных суставов, разрушительные изменения самого позвонка (хряща) и связок и затем ,как следствие, появление остеофитов — костных наростов. Появление остеофитов в народе иногда называют образованием шипов или отложением солей.
Остеофиты могут постоянно раздражать связки позвоночника, что постепенно приводит также к их окостенению и к ограничению движений в пораженном отделе позвоночника, а также могут травмировать близлежащие мягкие ткани, повреждать волокна фиброзного кольца, ускоряя образование грыжи.
Сравним данные виды исследований
Рентгенография органов грудной клетки (рентгенография ОГК) – основной метод рентгенологического исследования, который проводится для диагностики патологии органов грудной клетки (легких, дыхательных путей, сердца, кровеносных сосудов, костей грудной клетки и позвоночника, пищевода). При данном исследовании изображение формируется в зависимости от поглощающей способности тканей, находящихся на пути прохождения рентгеновских лучей. Оно фиксируется на специальной рентгеновской пленке или на цифровом носителе информации.
Очевидным преимуществом метода является высокая разрешающая способность – рентгенографическое изображение определяет тени размером 1,5-2 мм. А в случае цифровых рентгенологических установок, еще и низкая лучевая нагрузка – эффективная эквивалентная доза (ЭЭД) облучения равна 0,1-0,2 мЗв. Метод цифрового рентгенологического исследования ОГК применяется как при массовых и скрининговых исследованиях, так и в качестве основного метода лучевой диагностики патологии органов грудной полости.
Флюорография – исключительно массовый (диспансерный) метод рентгенологического исследования заболеваний легких, в первую очередь рака и туберкулеза. При нем изображения теней фиксируется с рентгенографического экрана или оптического прибора на пленку маленького формата, которое в дальнейшем оценивается врачом рентгенологом с использованием средств увеличения изображения.
По сравнению с рентгенографией ОКГ разрешающая способность флюорографии позволяет определять тени размерами от 5 мм. Если выявляются негативные рентгенологические синдромы или подозрения на них, пациент направляется на дальнейшую диагностику, именно на выполнение рентгенографии ОГК. Пленочная флюорография получила широкое распространение лишь в массовых профилактических мероприятиях на территории советского и постсоветского пространства, прежде всего из экономической целесообразности, поскольку обладала низкой себестоимостью.
На основании многочисленных исследований и клинических рекомендаций традиционная пленочная флюорография в настоящее время запрещена к применению решением Всемирной организацией здравоохранения вследствие невысокой диагностической ценности и повышенного радиационного воздействия на пациента (ЭЭД 0,6 — 0,8) мЗв.
В корпусе клиники «Семейный доктор» на Бауманской рентген-диагностика выполняется с помощью полнофункционального рентген-аппарата последнего поколения ARCOMA Intuition (Швеция). Его использование позволяет добиться безошибочной диагностической точности получаемых изображений. Это первый в мире потолочный рентген-комплекс с полностью автоматическим позиционированием.
Допплерография – подготовка и ход обследования
Большое преимущество ультразвукового исследования тот факт, что к нему не нужно готовиться специально.
В случае обследования, проводимого в области конечностей и шеи, следует надеть свободную одежду и снять ювелирные изделия, которые могут помешать обследованию. Если допплерография направлена на сосуды в брюшной полости, пациент должен прийти натощак.
Среди немногих противопоказаний для проведения ультразвукового исследования:
- повреждения кожи;
- сильная болезненность в пределах исследуемой области.
Ход диагностики несложный. Пациент обнажает область тела, подлежащую осмотру, и ложится на кушетку. Врач, проводящий обследование, наносит гель на головку ультразвукового аппарата и водит ей по области исследования. На мониторе появляется изображение и раздается звук, изображающий поток крови по кровеносным сосудам. Все обследование занимает около 15-20 минут.
Как проходит процедура
При первом посещении пациенту вводят подкожно или внутримышечно 1 миллилитр крови и наблюдают за реакцией. Постепенно дозу увеличивают до 10 мл, постепенно уменьшая. Подкожный путь отличается высокой вероятностью развития воспалительных реакций, локальной гематомы, повышением температуры тела, общей слабостью, ознобом, болями в мышцах.
В ягодицу допускается вводить первоначально 2 мл. Инъекцию выполняют в верхний наружный квадрант (низкий риск повреждения нерва). Манипуляцию повторяют через 1-2 дня.
| Номер инъекции | Количество крови |
| 1 | 2 |
| 2 | 4 |
| 3 | 6 |
| 4 | 8 |
| 5 | 10 |
| 6 | 10 |
| 7 | 8 |
| 8 | 6 |
| 9 | 4 |
| 10 | 2 |
Кровь вводят, строго соблюдая правила асептики и антисептики.
Выполняют две инъекции – внутривенную (забор из периферической вены) и внутримышечную (в ягодицу). Поэтому процедуру рекомендуют проводить в условиях поликлиники или стационара. Дома велика вероятность занесения инфекции и повреждения сосудисто-нервного пучка.
Показания и противопоказания к PRP-терапии

Что такое плазмотерапия в косметологии? Остановимся подробнее на ее разноплановых возможностях.
Показания для плазмотерапии:
- мимические и возрастные морщины;
- пигментация после чрезмерного загара;
- акне и постакне;
- сухая и чувствительная кожа;
- дерматит;
- псориаз;
- экзема;
- целлюлит;
- рубцы и шрамы;
- повышенная жирность кожи;
- «провисание» овала лица;
- обвисшая кожа на теле.
PRP-терапия используется не только для омоложения лица, но и для коррекции разных зон тела – например, для эффекта подтяжки живота, груди, бедер и ягодиц. Помимо этого, собственная плазма крови применяется для интимного омоложения плазмой, поскольку решает эстетические проблемы и устраняет излишнюю сухость в этой деликатной области.
Противопоказания для терапии плазмой:
- беременность;
- лактация;
- грипп, ОРВИ;
- обострение хронических заболеваний;
- воспалительные процессы в местах инъекций;
- прием антибиотиков;
- заболевания крови;
- онкопатологии;
- аутоиммунные заболевания;
- ВИЧ, гепатит.
Плазмотерапия – это серьезная медицинская манипуляция, которую может выполнять только врач со специальным образованием
Поэтому важно тщательно выбирать специалиста.
Возможны ли противопоказания для венепункции и венесекции?
Абсолютных противопоказаний для выполнения указанных манипуляций не существует, особенно если внутривенное введение медикаментов является жизненно необходимым. Из относительных противопоказаний можно выделить тромбофлебит локтевой вены и нарушение целостности кожи (ссадины, травмы) в локтевом сгибе. Венепункция является стандартной и довольно безопасной процедурой, но выполнять ее должен только человек с медицинским образованием. Венесекция и пункция одной из центральных вен по технике являются более сложными, а из противопоказаний следует отметить перелом ключицы и воспалительные процессы на коже пунктируемой области. В таком случае выполнение манипуляции осуществимо на здоровой стороне.
Показания для проведения фистулографии
Показание для рентгеновского контрастного исследования — любой свищ или подозрение, что воспалительный процесс осложнился образованием свищевого хода.
Фистулографию желательно выполнить до лечения — знание структуры поражения и состояния окружающих тканей в зоне повреждения помогает выбрать оптимальную тактику и иссечь все патологические и рубцовые ткани, препятствующие процессу заживления и обуславливающие хроническое течение с рецидивами.
ФГ требуется не при всех свищах, к примеру, при небольшом поверхностно располагающемся свищевом ходе перед операцией достаточно прощупать его или сделать УЗИ, чтобы выбрать способ лечения: операция, биологический клей или тампонада.
Безопасна ли прессотерапия
Прессотерапия достаточно безопасная методика и подойдёт большинству людей старше 18 лет
Однако, следует обратить внимание на наличие у пациентов выраженных симптомов сердечной патологии и некоторых других клинических ситуаций. Логично, что прессотерапию не следует выполнять пациентам с переломами, вывихами и разрывами связок, а также с наличием ран и других поражений кожи в области воздействия
Также людям с остеопорозом и тромбозом глубоких вен не следует проходить это лечение. Если вы принимали лекарства от лихорадки или антикоагулянты, вам следует проконсультироваться со своим лечащим врачом перед проведением прессотерапии.
Прессотерапия – абсолютно безопасна!
Особую роль метод прессотерапии играет в лечении пациентов с нарушением венозного кровообращения в нижних конечностях. Ни одна другая технология не способна в столь короткий период времени, как прессотерапия, удалить лишнюю жидкость в области нижних конечностей и других сегментах тела. Хороший эффект могут отметить как пациенты с функциональной венозной недостаточностью, так и больные с более серьёзным поражением венозной системы (варикозная, посттромботическая болезнь).
Тем не менее, методика прессотерапии является консервативной, следовательно, её эффекты имеют временный характер. Поэтому необходимо отдавать отчёт в том, кому стоит данный метод рекомендовать.
Рекомендации по уходу за очагом раны
Чтобы предотвратить распространение инфекции в послеоперационной полости и обеспечить её заживление важно держать послеоперационную полость в сухости и чистоте. Смену дренажа в период послеоперационной обработки раны следует проводить с учётом степени тяжести раны, памятки относительно использования средства по уходу за ней, советов врача
Смену дренажа в период послеоперационной обработки раны следует проводить с учётом степени тяжести раны, памятки относительно использования средства по уходу за ней, советов врача.
Ни в коем случае нельзя постоянно держать рану закрытой до момента снятия врачом швов.
Не стоит слишком часто делать перевязку, однако сменить её необходимо, когда она просочилась кровью либо гнойным отделяемым, загрязнилась либо отпала от раны.
Послеоперационный мониторинг осуществляется:
- При болезненности раны (в этом случае больному рекомендуется принимать назначенные доктором обезболивающие).
- С целью устранения болевых ощущений и отёчности вокруг раны.
- Когда, например, необходима фиксация верхней / нижней конечности в приподнятом положении после проведения операции на руке / ноге.
- Когда нужно, чтобы на ране какое-то время находился обёрнутый марлей (бинтом, стерильной салфеткой) холодный мешок в течение каждых 20 минут на протяжении двух часов.
Как при обработке раны с постхирургическим наложением швов, так и в период после удаления швов существует высокий риск раскрытия раны
В этот период соблюдайте особую осторожность и аккуратность при перевязке и смене дренажа, в частности при обработке послеоперационных полостей, размещённых на подвижных участках тела: максимально устраните напряжение в области шва / раны, чтобы они не разошлись, на протяжении 14 дней с момента хирургического вмешательства исключите физические нагрузки и подъём тяжестей. Соблюдайте рекомендации доктора
Помните, что свежая незарубцевавшаяся рана какое-то время может быть гиперчувствительной, закостеневшей, онемевшей, чуть возвышенной над поверхностью кожи. Также она может выглядеть отёкшей, покрасневшей, в то время как вокруг неё может наблюдаться зуд. Подобная симптоматика является нормальной реакцией в послеоперационный период заживления.
Обратитесь за помощью к специалисту в случае:
- образовавшегося покраснения в полости раны, болезненности, отёчности тканей внутри и вокруг неё;
- возникновения кровотечения;
- появления неприятного запаха из раны;
- увеличения гнойного экссудата;
- повышения до 38-39 °C температуры тела;
- общей вялости;
- продолжительного сохранения плохого самочувствия;
- раскрытия раны, расхождения швов.
ОБРАТИТЕ ВНИМАНИЕ!
Рубцевание и заживление раны занимает от нескольких недель до месяца. Всё это время она очень чувствительна. Этот факт следует учитывать при её обработке.
Очень важно защищать послеоперационную область, в которой установлен дренаж, от внешнего травмирования, избегать трения об узкую одежду. Перевязку и замену дренажа осуществлять по мере необходимости
В период заживления раны допускается её покрытие перевязочным материалом с предварительной обработкой антисептиком
Перевязку и замену дренажа осуществлять по мере необходимости. В период заживления раны допускается её покрытие перевязочным материалом с предварительной обработкой антисептиком.
Подготовка к процедуре
Алгоритм подготовительного этапа по замене дренажа при послеоперационной перевязке включает:
- Гигиеническое очищение рук медперсоналом.
- Использование перчаток во время выполнения процедуры.
- Идентификацию пациента.
- Представление, объяснение больному задачи и последовательности предстоящей манипуляции.
- Получение добровольного согласия пациента на процедуру.
- Получение от пациента информации относительно того, приносит ли ему дренаж какой-либо дискомфорт (в том случае, когда больной находится в сознании).
- Повторная гигиеническая обработка рук антисептиком, их осушение.
- Подготовка всех необходимых для манипуляции средств.
- Подготовка ёмкости с дистиллированной водой или физиологическим раствором.
- Подготовка дренажной системы (трубки для отведения гнойного содержимого должны быть стерильны и правильно подобраны по размеру).
- Замена старого дренажа новым.
- Закрытие раны чистой стерильной повязкой.
Допплерография – показания
Среди основных показаний к проведению допплеровского ультразвукового исследования – атеросклеротические изменения внутри артерий. Отложение атеросклеротических бляшек в стенках сосудов приводит к нарушениям кровотока и может стать причиной недостаточного снабжения органов и тканей кислородом и питательными веществами. Допплерография позволит оценить степень сужения сосудов атеросклеротической бляшкой и поможет в принятии решения о дальнейшем терапевтическом ведении.
Другие показания к допплерографии УЗИ:
- наличие варикозного расширения вен в нижних конечностях;
- оценка васкуляризации раковых поражений;
- выявление пороков сердца;
- дифференцировка опухолей;
- оценка мозгового кровообращения;
- мониторинг эффекта от лечения, связанного с реконструкцией сосудов;
- оценка состояния кровеносных сосудов у пациентов после травм.
Другая группа показаний к допплеровскому УЗИ – беременность. Применение этого вида ультразвукового исследования позволяет оценить потоки внутри сосудов плаценты и органов плода. Допплерография во время беременности рекомендуется, если существует повышенный риск преждевременных родов, выкидыша или нарушений развития плода, хотя в настоящее время оно часто выполняется во время стандартных осмотров.
Принцип метода ударно-волновой терапии
Принцип метода основан на воздействии акустических волн. Под воздействием ударных волн происходит разрыхление и последующее рассасывание осцификатов и кальциевых отложения, при этом проходя через здоровые ткани волны их не повреждают. На фоне терапии улучшается кровообращение тканей, стимуляция выработки коллагена, что способствует восстановлению хрящей, костей и связок. В случае воздействия ударными волнами на мышечные триггерные точки и зоны (узелковые утолщения мышц, образованные сокращенными мышечными волокнами) восстанавливается эластичность и упругость мышц, ткани становятся мягче, устраняются мышечные спазмы, блокирующие приток крови к позвоночнику, что позволяет избежать вынужденных поз и таким образом устранить боль в спине.
Ударно-волновая терапия в нашей клинике проводится при помощи аппарата BTL-6000 SWT Topline (Великобритания). Аппарат работает на основе баллистической системы генерации радиальных волн. Кинетическая энергия снаряда передаётся с помощью упругого удара в наконечник аппликатора, а через него в тело пациента. Радиальные волны, в отличие от фокусированных предпочтительнее использовать при воздействии на мышечные триггеры и околопозвоночные зоны, их можно сравнивать с механическим воздействием похожим на точечные поколачивания при массаже, но гораздо большей частоты и интенсивности.
Противопоказания
Общие противопоказания к проведению прессотерапии:
- онкология;
- острые кожные воспаления;
- любая форма туберкулеза;
- доброкачественные новообразования;
- незажившие переломы, вывихи или повреждения кожи в тех зонах, куда предполагается накладывать манжеты;
- сахарный диабет (повреждение по его причине сосудов);
- аритмия;
- сердечно-сосудистая недостаточность;
- печеночная недостаточность;
- почечная недостаточность;
- кардиостимулятор;
- нарушение свертываемости крови;
- повышенная вязкость крови;
- тромбофлебит, тромбоз;
- психические расстройства;
- протезы из металла в предполагаемой зоне воздействия;
- эпилепсия;
- заболевания щитовидной железы;
- травмирование нервных стволов;
- повышенное артериальное давление;
- острый болевой синдром в теле;
- повышенная температура тела;
- атеросклероз.
Противопоказания к прессотерапии живота:
- беременность и лактация;
- менструация;
- миома матки;
- кишечная непроходимость;
- острые заболевания кишечника, а также обострение хронических;
- перенесенный ранее перитонит.
Как проводят прессотерапию
Так как прессотерапию делают только при отсутствии противопоказаний, нужно предварительно проконсультироваться с терапевтом. Он же поможет определить самые проблемные зоны.
За 2-3 часа до сеанса лучше отказаться от пищи, но побольше пить. К началу процедуры мочевой пузырь и желудок должны быть пустыми.
Пациент надевает костюм или отдельные манжеты, например на руки. Врач-косметолог выбирает оптимальный режим на аппарате. После этого волнообразно на выбранные участки оказывается давление. Чередуется высокое и низкое. От этого начинают быстрее циркулировать лимфа и кровь.
Сеанс длится 30-40 минут. Делать лимфодренаж можно в любом возрасте, мужчинам и женщинам.
Период реабилитации отсутствует. Сразу после сеанса можно возвращаться к повседневным делам.
Противопоказания для УВЧ
Существуют следующие абсолютные противопоказания:
- нарушение свертываемости крови;
- гипертоническая болезнь третьей стадии;
- злокачественные опухоли;
- лихорадочные состояния;
- гипотоническая болезнь;
- наличие у пациента кардиостимулятора;
- беременность;
- сердечно-сосудистая недостаточность;
- ишемическая болезнь сердца, инфаркт миокарда, стойкая стенокардия;
- венозный тромбоз.
Существуют следующие относительные противопоказания:
- доброкачественные опухоли;
- гипертиреоз;
- наличие в организме металлических предметов не более двух сантиментов (например, зубные металлические протезы).
Диагностическая лапароскопия
Диагностическая лапароскопия — это информативный, но инвазивный метод исследования. Во время лапароскопии хирург через один или 2-3 маленьких разреза в области пупка, вводит в брюшную полость оптическую трубку, к которой присоединяется эндовидеокамера. Изображение с камеры с увеличением проецируется на монитор. Это обследование помимо оценки проходимости труб позволяет выявить сопутствующую патологию, например, эндометриоз, миому матки, кисты яичников. Кроме того, во время манипуляции возможны такие действия, как рассечение спаек. Лапароскопия производится под местным наркозом. Перед проведением лапароскопии производится то же стандартное обследование (анализы крови, мочи, ЭКГ), как и перед любой другой операцией. Реабилитация после современной диагностической лапароскопии занимает сутки.
Как проводят рентген?
Рентгенография брюшной полости проводится как в вертикальном, так и в горизонтальном положении (стоя и лежа). В некоторых случаях организм сканируют в двух проекциях, это позволяет лучше оценить состояние и структуру внутренних органов. Чтобы получить качественные снимки, необходимо соблюдать неподвижность.
Сделать рентгенографию брюшной полости в «МедикСити» вы можете каждый день с 9.00 до 21.00. Обращайтесь к врачу при проблемах с ЖКТ и не занимайтесь самолечением! Обзорный рентген брюшной полости позволяет быстро выявить патологию. Мы успешно проводим диагностику заболеваний желудка и других органов.
Перед записью на рентген рекомендуем проконсультироваться с врачом-гастроэнтерологом.
Материал подготовлен при участии специалиста:
Подготовка к процедуре

К сеансу PRP-терапии важно подойти со всей ответственностью. Примерно за неделю до проконсультируйтесь с врачом, который назначит необходимые анализы, чтобы исключить противопоказания и избежать возможных осложнений.. Записаться на консультацию
Записаться на консультацию
Что нужно сделать перед процедурой?
- Сдать общий и биохимический анализы крови;
- Пройти исследование на ВИЧ и гепатит;
- За неделю до плазмотерапии откажитесь от пилингов;
- На 7 дней воздержитесь от употребления алкоголя и курения;
- За неделю прекратите прием медикаментов;
- Не наедайтесь перед сеансом – лучше перекусить за несколько часов до.
От соблюдения этих рекомендаций зависит и безопасность процедуры, и то, насколько пациент будет доволен конечным результатом.
Эффект Доплера – что это такое?
Эффект Доплера — это физическое явление, включающее изменение частоты волны, посылаемой объектом относительно волны, записанной другим объектом, возникающее, если объекты движутся относительно друг друга.
Хотя это явление кажется очень специфичным, оно часто наблюдается в повседневной жизни. Отличный пример, объясняющий эффект Доплера, — пожарная машина, едущая с включенным сигналом мимо прохожего. Когда автомобиль приближается к прохожему, звук принимаемого сигнала имеет более высокую частоту, чем при удалении.
В случае проведения допплеровского ультразвукового исследования роль пожарной машины играют морфотические элементы крови, от которых отражается акустическая волна. Роль прохожего играет приемник, расположенный в ультразвуковой головке. Основываясь на изменении частоты волны, соответствующее программное обеспечение определяет направление и скорость кровотока относительно головки.
Существует несколько видов УЗИ с допплером:
- Допплерография с непрерывной волной или пульсирующей волной. Определяет, какие изменения происходят в интенсивности текучей крови, не выявляет окружающие ткани;
- Дуплексная допплерография. Выявляет кровеносные сосуды и окружающие ткани;
- Цветная допплерография. Изображение текущей крови представлено красным или синим цветом в зависимости от направления кровотока и его скорости.
Обследование при опухолях двенадцатиперстной кишки и тонкой кишки
Визуализационная диагностика новообразований двенадцатиперстной кишки и тонкой кишки основывается, как и диагностика заболеваний желудка, на рентгенологических исследованиях (контрастное исследование желудка и двенадцатиперстной кишки и оценка кишечного прохода, благодаря чему мы можем определить степень и расположение инфильтративного поражения).
До недавнего времени энтероклич был предпочтительным тестом для оценки тонкой кишки; сегодня все чаще выполняются КТ и МРТ энтерография и энтероклизы. Диагностическая сила этих тестов зависит от размера поражения.
Полипы диагностируются (и чаще всего удаляются) при эндоскопическом исследовании. На классическом рентгеновском снимке с контрастным веществом полипы и другие новообразования образуют дефекты контраста, выступающие в просвет кишечника.
Симптомы злокачественных опухолей (аденокарциномы и саркомы) чаще всего представляют собой локальную потерю контраста в просвете кишечника, вызывающую сужение и изъязвление.
Лимфомы вызывают длинно-сегментную четко выраженную инфильтрацию стенки, видимую по ее утолщению> 5 мм, без признаков инфильтрации соседних органов, часто с увеличением окружающих лимфатических узлов.
Доброкачественные опухоли имеют ровные, четко очерченные контуры (лейомиомы и липомы).
Сцинтиграфия может визуализировать небольшое кровотечение из опухоли.
Виды рентгена брюшной полости
Тесное расположение органов в брюшной области доставляет сложности при обследовании, что вынуждало совершенствовать диагностические методы. Современная рентгенография брюшной полости может осуществляться двумя способами, каждый из которых имеет показания и преимущества.
Обзорное исследование
Это стандартный диагностический метод, наиболее доступный и простой. Обзорная рентгенография брюшной полости показывает, что является причиной неприятных симптомов и плохого самочувствия: наличие избыточного газа или жидкости, кровотечение или инородные предметы (например, камни в почках или проглоченные мелкие предметы). Также обзорная рентгенография органов брюшной полости позволяет увидеть повреждения, возникшие по разным причинам: от воспаления до травмы.
Контрастное исследование
Контрастный рентген органов брюшной полости – это усовершенствованный метод исследования, позволяющий получить более подробное описание состояния любого органа. В качестве контрастирующего вещества в данном случае применяется сульфат бария, который окрашивает изнутри кровеносные сосуды и делает рисунок внутренних органов более четким.
Как проводится перевязка (послеоперационная) с заменой дренажа?
Различают два вида дренажа. Первый (активный) используется для отхождения гнойной жидкости через специальное отверстие либо путём отсасывания в специальную трубку в направлении снизу вверх. Второй тип (пассивный) устанавливается в направлении сверху вниз.
Установка той или иной разновидности дренажа подбирается в зависимости от состояния здоровья пациента, трудностей, с которыми пришлось столкнуться в ходе проведении оперативного вмешательства, степени тяжести патологии, присутствия / отсутствия симптомов воспаления.
Отсутствие либо некорректность установки по какой-либо причине дренажа значительно увеличивают срок заживления раны, что впоследствии может поспособствовать проникновению в операционный шов (рану) инфекции, микробов, представляющих повышенную опасность для больного в послеоперационный период.
Последовательность этапов смены дренажа во время перевязочной процедуры:
- подготовка средств, предназначенных для обработки раны;
- дезинфекция рук тёплым мыльным раствором накануне и после манипуляции, последующая их обработка антисептиком;
- устранение старой перевязки и дренажа;
- очищение полости раны антисептиком или, например, 0,9 %-ным солевым раствором;
- введение антибиотиков (при необходимости);
- установка нового дренажа с последующей стерильной перевязкой.
В некоторых случаях с целью обеспечения быстрого рубцевания поражённого участка врач может назначить пациенту приём антибактериальных и противовоспалительных лекарственных средств, подобрать курс физиотерапии, рекомендовать обработку раны специальными полиэтиленоксидными гелями и мазями.
Поздние осложнения
- Осложнения мочевыводящих путей. Осложнения со стороны мочевыводящих путей могут появиться в раннем или позднем периоде. Поздние осложнения включают стеноз мочеточника, приводящий к гидронефрозу, и разницу в размерах почек с определенным уменьшением пораженной. Обе эти особенности могут быть оценены с помощью обычного трансабдоминального УЗИ. Однако КТ с введением контрастного вещества позволяет исследовать функцию почек — в случае патологий органа наблюдается задержка работы по сравнению со второй почкой.
- Повреждение кишечника. Позднее осложнение кишечника — непроходимость в основном из-за спаек. Спайки являются наиболее частой причиной обструкции этого органа после операции и основной долгосрочной причиной повторного вмешательства после операции на брюшной полости и тазовой области. Спайки могут способствовать полной, периодической или неполной непроходимости кишечника. Подозрение на непроходимость тонкой кишки вследствие спаек возникает, когда все другие причины были исключены при КТ. Основные аномалии включают узкую переходную зону без видимых изменений, резкое изгибание петли тонкой кишки и искажения натяжения. В неотложных случаях подозрение на кишечную непроходимость также можно поднять на основании обычных рентгенограмм, которые показывают расширенные кишечные петли с уровнями жидкости и газа.
Обструкция кишечника у женщины после лапароскопической резекции кисты эндометрия яичника. A и B. Горизонтальный газ-жидкость в расширенных петлях тонкой кишки (звезды) и грыжа, образованная в разрезе (стрелка), визуализируемая на КТ-изображениях в осевой и фронтальной плоскостях.
Свищ. Отдаленное осложнение, часто следствие повреждения кишечника или мочевых путей. Это происходит в основном после операций из-за злокачественных опухолей и после лучевой терапии. МРТ является тестом выбора из-за более высокого пространственного разрешения по сравнению с КТ. Например, в отношении перианального свища он обеспечивает отличную чувствительность и специфичность (100% и 86% соответственно). Канал фистулы можно оптимально отобразить на стандартных изображениях, в виде гиперинтенсивного канала, заполненного жидкостью, часто окруженного реактивной воспалительной жировой тканью, которая появляется в виде смежных гиперинтенсивных полос.
В случае активного воспалительного процесса фистулу можно также визуализировать после введения контрастного вещества в виде гипоинтенсивного канала с усиливающей стенкой. После тазовой хирургии образуются преимущественно пузырно-влагалищные и ректо-вагинальные свищи, но также могут возникать кишечно-кожные, кишечно-мочевой пузырь, кишечно-влагалищные и другие свищи.
Если есть подозрение на пузырно-влагалищный или мочеточниковый свищ, проводится КТ, обеспечивающее прямую оценку свищевого канала, заполненного контрастным веществом, в поздней секреторной фазе. Если подозревается наличие свища между кишечником (кишечные петли или прямая кишка) и влагалищем, может оказаться полезным контрастирование пероральное и ректальное (через катетер).

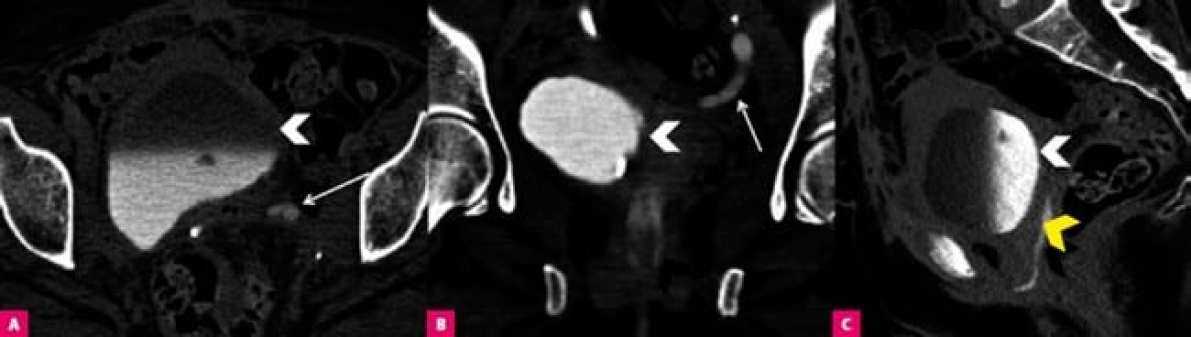
Уретеро-вагинальный свищ у женщины после операции по поводу рака шейки матки. КТ-изображения в осевой (A), фронтальной (B) и сагиттальной (C) плоскостях показывают контрастную мочу в мочевом пузыре (белая стрелка) и заполненную контрастом полость между мочеточником и влагалищем (желтая стрелка), вкупе с расширением левого мочеточника (стрелка)
Суть метода
Рентгенографией называют диагностический метод, который основан на использовании лучей рентгена. Надо понимать, что лучевая нагрузка одной процедуры неопасна для человека, однако необходимо ограничивать частоту исследования подобного рода.
Если говорить о классификации, то выделяют следующие методы:
- Обзорный – дает возможность проанализировать какую-либо область тела;
- Прицельный – помогает собрать информацию о функционировании конкретного органа и его структуре.
Полученные в результате процедуры снимки называют рентгенограммой. Результаты процедуры важны в плане постановки диагноза.
Технология не стоит на месте, и теперь все чаще используют цифровые аппараты с компьютерной программой. Применяя их, не нужно делать пленки, проявляя их. Картинка выводится на монитор, сами же снимки хранят на электронном носителе.




























