Причины анасарки
Задержка воды – это ведущая жалоба в терапии, характерная для многих патологических состояний.
Основные провоцирующие факторы:
- Заболевания сердечно-сосудистой системы. До 30-40% случаев анасарки связаны с декомпенсацией сердечной недостаточности, которая спровоцирована артериальной гипертензией, ишемической болезнью, перенесенным миокардитом. Для нее характерно снижение фракции выброса, что способствует застою крови в малой круге кровообращения и пропотеванию жидкой составляющей в межклеточное пространство.
- Потеря белка. Регистрируется при энтеропатии (воспалительном повреждении тонкого кишечника). Молекулы протеина поступают в просвет кишки из сосудов лимфатической системы и выводятся с каловыми массами. Состояние отличается быстрым прогрессированием.
- Злокачественные опухоли. Диагностируется у пациентов с крайними степенями кахексии, обусловленной частой рвотой, снижением аппетита, дисфункцией органов. Иногда выявляют метастазы, канцероматоз брюшины.
- Заболевания печени, обусловленные поражением паренхимы. Вызывают вирусные гепатиты, алкогольный цирроз. Это приводит к недостаточному синтезу протеинов.
- Нефротический синдром. На фоне гломерулонефрита, диабетической нефропатии, красной волчанки. Приводит к потерям белка.
Анасарка характерна для заболеваний, сопровождающихся дисбалансом электролитного состава крови (гипо- или гипернатриемия).
Лечение плеврита
Объем лечения при плевритах сильно варьирует и определяется причиной процесса, выраженностью клинической картины и формой заболевания
Непосредственно в отношении плевритов внимание уделяют симптоматической терапии, а также эвакуации выпота и санации плевральной полости при выраженной экссудации. Больных с острым плевритом, как правило, госпитализируют
Сколько времени лежат в больнице с плевритом?
Срок лечения в стационаре зависит от тяжести основного заболевания. Если причина плеврита — пневмония, то чаще всего это срок около недели-полутора. Больные тяжелой пневмонией, туберкулезом или раком легкого могут оставаться на лечении дольше, вплоть до месяца и более. Иными словами, сроки очень вариабельны, как и причины плеврита.
Лечение сухого плеврита
Основное внимание уделяют первичному заболеванию, чаще всего таковым является пневмония. Обычно для ее терапии используют различные группы противомикробных препаратов: антибиотики, противовирусные и противогрибковые средства в зависимости от возбудителя
Успешное лечение приводит также и к разрешению плеврита.
Чтобы снизить интенсивность боли и уменьшить проявления интоксикационного синдрома, используют нестероидные противовоспалительные средства в форме таблеток, свечей или инъекций.
Лечебная физкультура и дыхательная гимнастика дополняют медикаментозное лечение плеврита. Фото: МЧС России / YouTube
Лечение экссудативного плеврита
Как и в случае с сухим плевритом, в приоритете терапия основного заболевания
Помимо этого важное значение приобретает плевральная пункция. В контексте терапии неспецифических инфекционных плевритов эта процедура выполняется обязательно
При этом жидкость из плевральной полости удаляют, а затем иногда вводят антибактериальные средства.
При асептических и специфических инфекционных плевритах (туберкулезный плеврит) необходимость в лечебной пункции возникает при накоплении большого объема жидкости. Разово из плевральной полости удаляют не более 1,5 литров экссудата. Если выпот накапливается хронически, разгрузочные пункции проводят раз в неделю. Также в этом случае назначают диуретические средства и ограничивают питьевой режим.
Если в плевральной полости произошло нагноение, объем терапии увеличивают. Пункции выполняют ежедневно, удаляя при этом накопившийся экссудат, выполняя промывание антисептическими растворами и вводя антибактериальные средства. Иногда возникает необходимость в дренировании плевральной полости, что позволяет круглосуточно вводить и удалять из нее жидкость.
Плеврит — симптом рака?
Одна из частых причин асептических плевритов — метастазы в плевру и грудные лимфатические узлы. Причем плеврит в данной ситуации нередко становится первым симптомом, с которым онкологические больные обращаются за медицинской помощью. Метастазированием в органы грудной клетки характеризуются рак молочной железы, яичников, желудка, толстой кишки. Экссудацию может вызвать и первичный рак легкого, проросший в плевру. Однако раньше времени переживать не стоит — инфекционные плевриты вследствие пневмоний встречаются значительно чаще.
Оперативное лечение
К оперативному лечению (декортикации легкого) прибегают при развитии хронической эмпиемы плевры. Эта форма плеврита характеризуется образованием полости с гноем, который разрушает легкое и способствует образованию спаек и шварт в плевральной полости. Суть операции состоит в освобождении поверхности легкого от рубцовой ткани (спаек), а также удалении стенок абсцесса и части легкого, подвергшегося необратимым изменениям. Иногда при обширных процессах даже прибегают к удалению легкого целиком (пневмонэктомия).
Как уже упоминалось, для лечения плеврита необходимо добиться излечения основного заболевания. Экссудативный плеврит при карциноматозе и мезотелиоме плевры — следствие деструкции плевры продуктами распада опухоли. Названные патологии также часто требуют радикальных мер, таких как резекция легкого, иссечение плевры (плеврэктомия), пневмонэктомия.
Физиотерапия
Физиотерапевтические процедуры находят применение при всех видах плеврита, а особенно — при экссудативном. Из наиболее распространенных:
- Индуктотермия (прогревание электромагнитным полем).
- Местные грязевые аппликации.
- Электрофорез.
- Ручной и вибрационный массаж.
- Ультразвуковое воздействие.
- Дыхательная гимнастика.
Указанные методики используют после стихания острых явлений. Главная цель — профилактика образования спаек, которые впоследствии могут стать причиной дыхательных нарушений.
Электрофорез — распространенная физиопроцедура при плеврите. Фото: sunlight19 / freepik.com
Какие признаки «говорят» об асците?
В начале своего развития патология никаким образом не проявляется. О наличии проблемы можно узнать исключительно с помощью проведения УЗИ брюшной полости.
Свои первые отрицательные признаки асцит начинает показывать после того, как количественный показатель брюшной влаги превысит полтора литра. В этом случае с больным происходят следующие изменения:
- увеличивается общая масса тела и брюшная область;
- неприятные ощущения «распирания» в зоне брюшины;
- ухудшается самочувствие;
- у мужчин наблюдается отечность мошонки;
- начинают отекать ноги;
- появляется систематическая отрыжка, тошнота, изжога;
- становится сложно дышать;
- наблюдается тахикардия и метеоризм;
- выпячивается вперед пупочный узел;
- мучают болезненные и дискомфортные ощущения в области живота;
- нарушаются мочевыделение и стул.
Когда в брюшине собирается слишком много выпота, заболевший может даже ощущать его движение и слышать плеск.
После обнаружении патологии на УЗИ врач ставит диагноз «водянка», но нужно понимать, что это всего лишь симптом одной из истинных причин образования жидкости в животе. Поэтому далее последует новое обследование.
Диагностика
Анасарка – это междисциплинарная патология. Обследуют пациента врачи различного профиля. Первично осматривают кардиолог, терапевт или нефролог, что обусловлено ведущими причинами состояния. По показаниям для консультации привлекают сторонних специалистов.
Для верификации диагноза назначают:
- Лабораторные анализы. В биохимии интересует концентрация белка (альбумина), натрия, калия, хлора. Анализ мочи позволяет подтвердить или исключать почечный механизм (протеинурия более 3 граммов). Проводят функциональные печеночные пробы (щелочная фосфотаза, билирубин, АлАТ, АсАТ, ГГТП, ЛДГ).
- УЗИ. Обязательные процедуры – Эхо-КГ (оценка показателей работы сердечной мышцы, толщины перикарда), брюшной полости, печени, почек.
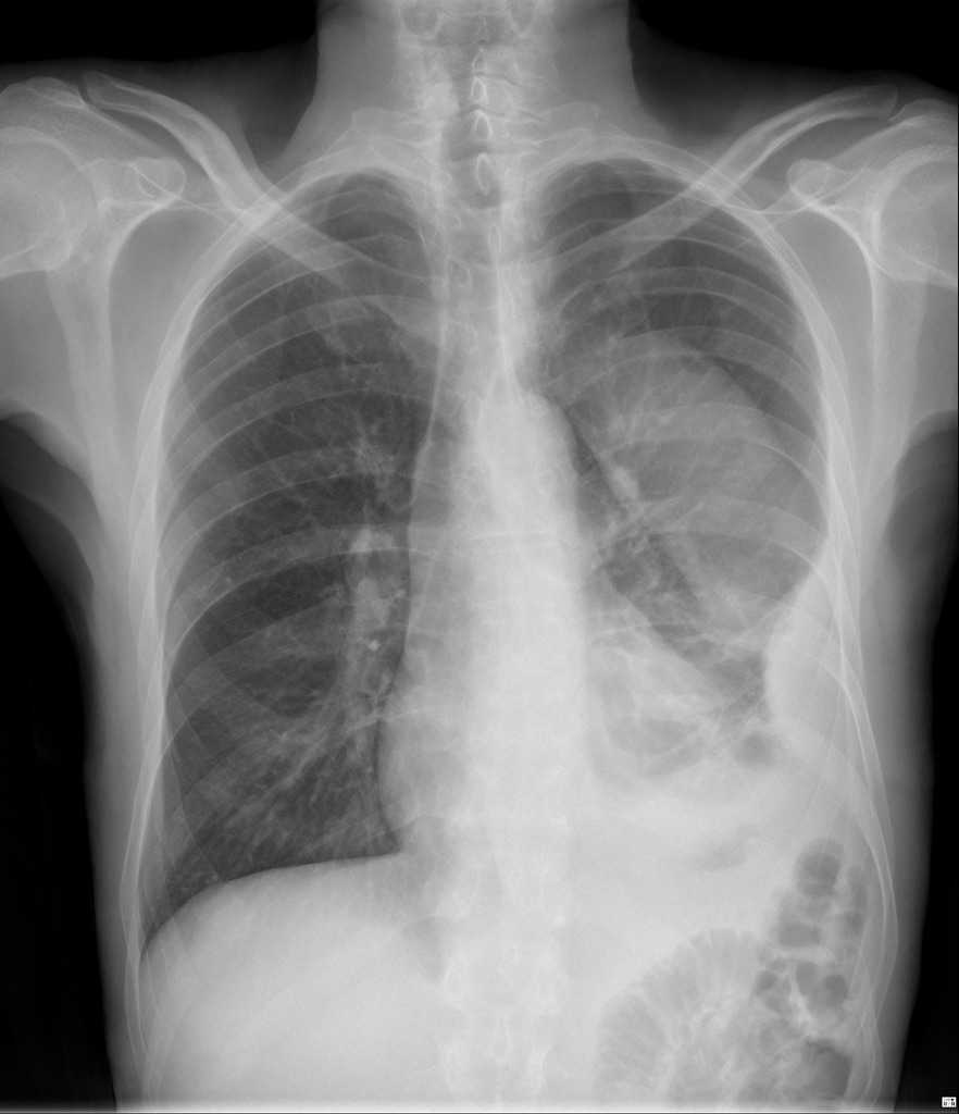
- Рентген ОГК. Для анасарки характерно повышение кардиоторакального индекса (>50%). Транссудат в плевральной полости диагностируют по поджатым легким, обрезанным синусам.
Объем обследования определяет лечащий врач после консультации.
Противопоказания
Данную процедуру разрешено проводить не всем. Она требует высокой точности, несоблюдение предписанных правил чревато серьезными патологическими изменениями. Пункцию не делают, если листки плевры спаяны между собой. Это явление называют облитерацией. В списке противопоказаний также присутствуют следующие факторы:
- беременность;
- сердечно-сосудистые патологии.
В последнем случае ограничения к проведению пункции обусловлены нестабильным состоянием больного. Самочувствие может нарушиться из-за стенокардии, аритмии. При наличии относительных противопоказаний процедуру переносят или проводят открытую операцию.
С чем предстоит столкнуться пациенту после подтверждения диагноза?
Если УЗИ подтвердило асцит, ход лечебного процесса будет напрямую зависеть от причины, вызвавшей скопление лишней жидкости в зоне брюшной полости. Чтобы поставить точный и достоверный диагноз врач назначит дополнительную диагностику. Пациентом проходится:
- общеклинический и биохимический анализ мочи и крови;
- исследование на онкомаркеры и электролитный обмен;
- обзорный рентген зоны брюшной и грудной полости;
- коагулограмма, показывающая уровень функциональности системы свертываемости крови;
- сосудистая ангиография;
- КТ и МРТ брюшины;
- гепатосцинтиграфия, которая даст возможность просмотреть печень специальной гамма-камерой;
- также может потребоваться лапароскопия совместно с пункцией асцитической воды.
В случае наличия у пациента цирроза печени ему дополнительно необходимо провести портосистемное внутрипеченочное шунтирование. Осуществляется манипуляция с помощью сетчатого металлического стента. Стент оказывает воздействие на пространство между печеночной и воротниковой венами. Если наблюдается запущенная форма недуга, тогда не обойтись без трансплантации органа.
Классификация
В случае выделения жидкости в воспаленные ткани речь идёт о раневом экссудате ( exsudo vulnerale), а при выделении жидкости в полости организма — об экссудативном выпоте ( effusion). Нередко термины выпот и экссудат считаются синонимами, что является не совсем верным, так как термин «экссудат» применим только к воспалению, а выпот не всегда носит воспалительный характер.
По макроскопическим признакам выделяют основные виды экссудата: серозный, фибринозный, гнойный, гнилостный, геморрагический. Выделяют смешанные формы экссудата — серозно-фибринозный, серозно-гнойный, серозно-геморрагический, гнойно-фибринозный. Кроме того, по макроскопическим признакам некоторые авторы выделяют и более редкие формы экссудата: слизистый ( exsudo mucosum), слизисто-геморрагический ( exsudo mucohaemorrhagicum), молочновидные (хилёзный, хилусоподобный, псевдохилёзный, холестериновый).
По цитологической картине различают несколько типов экссудатов: нейтрофильный, лимфоцитарный, эозинофильный и мононуклеарный, а также смешанные формы. Для острого воспаления характерно преобладание в экссудате , для хронического — лимфоцитов и , для аллергического — .
Лучевая диагностика
Плевральный выпот может быть выявлен на обзорной рентгенограмме органов грудной клетки. Эмпиему следует подозревать у пациентов, организм которых не отвечает на соответствующую антибактериальную терапию.
Ультразвуковое сканирование является предпочтительным методом исследования. Оно дает возможность точно определить местонахождение любого скопления жидкости и помогает наметить точку для проведения диагностической аспирации. Иногда плевральная инфекция возникает из-за разрыва пищевода. Этот диагноз следует подозревать у пациентов, у которых развивается плевральный выпот вскоре после многократной рвоты. При обнаружении патологического сброса из пищевода (применяется рентгеноскопия с контрастным веществом) необходимо незамедлительно направить больного к хирургу, имеющему опыт лечения разрывов пищевода.

В случае возникновения диагностических трудностей необходимо провести компьютерную томографию с контрастированием. КТ-сканирование с использованием контрастного вещества может помочь дифференцировать эмпиему плевры от абсцесса легкого. Эмпиемы обычно имеют линзовидную форму и сдавливают паренхиму легкого, в то время как абсцессы легкого часто имеют нечеткую границу и не оказывают значительного влияния на окружающую легочную ткань. Также при эмпиеме плевры наблюдается диагностический признак «расщепленной плевры» — визуализация на КТ утолщенных париетальной и висцеральной плевральных листков.
Источники
- Strange C, Sahn SA. The clinician’s perspective on parapneumonic effusions and empyema. Chest 1993;103:259–61.
- Sahn SA. Management of complicated parapneumonic effusions. Am Rev Respir Dis 1993;148:813–7.
- Ferguson AD, Prescott RJ, Selkon JB, et al. Empyema subcommittee of the Research Committee of the British Thoracic Society. The clinical course and management of thoracic empyema. Q J Med 1996;89:285–9.
- Heffner JE, McDonald J, Barbieri C, et al. Management of parapneumonic effusions. An analysis of physician practice patterns. Arch Surg 1995;130:433–8.
- Light RW, MacGregor MI, Ball WCJ, et al. Diagnostic significance of pleural fluid pH and PCO2. Chest 1973;64:591–6.
- Matsumoto AH. Image guided drainage of complicated pleural effusions and adjunctive use of intrapleural urokinase. Chest 1995;108:1190–1.
- Parmar JM. How to insert a chest drain. Br J Hosp Med 1989;42:231–3.
- Wait MA, Sharma S, Hohn J, et al. A randomized trial of empyema therapy. Chest 1997;111:1548–51.
Лечение при скоплении плевральной жидкости
Жидкость в плевральной полости является следствием других заболеваний, поэтому лечение также зависит от первопричины.
Если имеется большое количество жидкости, вызывающей дискомфорт и нарушение дыхания, ее следует удалить проколом или дренировать.
Уровень жидкости, вызванный приемом лекарств, невысок. Если есть подозрение на фармакологическое происхождение жидкости, обычно эффективно прекращение приема препарата (прокаинамид гидралазин, хинидин, нитрофурантоин, кордарон, прокарбазин, метотрексат и т. д.). Такое состояние не требует дальнейшего вмешательства.
В случае гнойной жидкости с pH меньше 7,2, если она инкапсулирована или обнаружены бактерии, необходимо срочное удаление толстым дренажем. У дренированных пациентов при адекватном антибактериальном лечении состояние обычно улучшается в течение недели.
Если по прошествии недели большое количество жидкости остается или увеличивается, что показывает УЗИ или другие методы, следует рассмотреть возможность дренирования плевральной полости и оценить другие причины появления жидкости. Пневмония может быть связана с опухолевым процессом или туберкулезом. В этом случае рекомендуется компьютерная томография.
Жидкость, выделяемая у онкологических больных, обычно является признаком прогрессирования процесса. Средняя выживаемость таких пациентов составляет около 1 года.
Жидкость обычно диагностируется впервые при развитии медленно прогрессирующей одышки. Поскольку этот процесс протекает медленно, пациенты объясняют эти недомогания основным заболеванием и обращаются за помощью, когда уровень жидкости очень высок.
После удаления жидкости пациент чувствует себя намного лучше. Правда, улучшение временное. Жидкость рецидивирует в течение 2-3 недель. Для удаления жидкости производятся повторные проколы плевральной полости. Было замечено, что жидкость лучше удаляется, если применяется плевральный дренаж. Иногда длительное дренирование приводит к самопроизвольному разрастанию плевральной полости. Это альтернатива плевродетической хирургии.
Туберкулезная жидкость обычно проходит спонтанно при адекватной противотуберкулезной терапии.
Гнойный экссудат
Гнойный экссудат образуется в результате действия гнойных микроорганизмов (стрептококков, стафилококков, туберкулезных палочек). Этот экссудат богат клетками, в основном лейкоцитами. Если острое гнойное воспаление вызвано стрептококками или стафилококками, нейтрофилы преобладают в экссудате, но если воспаление и экссудация вызваны, например, паразитами животных, количество эозинофилов в экссудате увеличивается.
Гнойный экссудат представляет собой вязкую жидкость желтовато-зеленого цвета с характерным сладким запахом. При центрифугировании он распадается на два слоя – сывороточный и клеточный осадок. Гнойные клетки – так называемые гнойные тельца – это поврежденные и мертвые клетки крови (нейтрофилы, лимфоциты, моноциты), клетки воспаленной ткани и микроорганизмы.
В цитоплазме гноя много вакуолей, граница гноя с окружающей средой нечеткая. Наблюдается также кариолиз – набухание и постепенное растворение ядра гноя, в результате чего количество нуклеотидов и нуклеиновых кислот в гное увеличивается. Гнойная сыворотка химически существенно не отличается от сыворотки крови.
- Гнойный экссудат туберкулезного и сифилитического воспаления обычно имеет большое количество лимфоцитов.
- Гнойный экссудат опухоли содержит множество опухолевых клеток и эритроцитов.
Относительная плотность гнойного экссудата высокая (1020–1040). В нем много активных ферментов, продуктов интенсивного протеолиза (полипептиды, аминокислоты), молочная кислота (90-120 мг% и более). Из-за интенсивного гликолиза содержание глюкозы в гнойном экссудате, как и в других экссудатах, обычно ниже, чем в крови (40-50 мг%).
Капли жира (hilozo) также могут попадать во все экссудаты и создавать так называемый хилозо-экссудат. Этот экссудат возникает, например, когда воспаление локализовано в брюшной полости, области больших лимфатических сосудов.
Клиническая картина
Воспалительный плеврит отличается внезапным началом, опухолевый или застойный – постепенным прогрессированием клинической симптоматики.
В клинической симптоматике плевритов выделяют следующие основные синдромы:
• синдром сухого (фибринозного) плеврита;
• синдром плеврита с выпотом (с редким, негнойным экссудатом);
• синдром гнойного плеврита (эмпиема плевры).
Перечисленные синдромы могут развиваться и протекать изолированно или прогрессировать от сухого плеврита до эмпиемы плевры.
Клиническая симптоматика сухого плеврита может наслаиваться на симптоматику основного заболевания, которое протекает с поражением легочной ткани – к примеру, пневмонии – или выступать на первый план. Пациенты нередко жалуются на выраженную колюще-саднящую боль, которая преимущественно сосредоточена в боковом отделе грудной клетки на стороне поражения; боль значительно усиливается при дыхании, кашле, наклоне туловища в противоположную здоровую сторону. Раздражение задних и периферических отделов диафрагмальной плевры может сопровождаться возникновением боли, которая распространяется на нижнюю область грудной клетки или область живота, что имитирует острую патологию органов брюшной полости. Поражение центральной части диафрагмальной плевры вызывает боль, иррадиирующую в плечо или шею на стороне поражения. Возникает сухой кашель, нарастает частота дыхания. В отдельных эпизодах наблюдается икота и болезненное глотание. Возникновение заболевания зачастую имеет взаимосвязь с простудным заболеванием верхних дыхательных путей.
При осмотре пациента выявляется отставание грудной клетки в акте дыхания на стороне поражения. Аускультативно определяется ослабленное везикулярное дыхание и шум трения плевры на стороне поражения. Шум трения плевры может имитировать крепитацию, быть громким, скрипящим, хрустящим. В случае возникновения плеврита в околосердечной области развивается плевроперикардиальное трение, которое взаимосвязано с сердечными сокращениями, дыхательными движениями.
Экссудативный (выпотной) плеврит характеризуется общим недомоганием, чувством тяжести, распирания с одновременным чувством сдавления в области пораженной части грудной клетки. В отдельных эпизодах возникает сухой кашель. Скопление большого количества экссудата в плевральной полости приводит к учащению сердцебиения и возникновению одышки с затрудненным выдохом. Тяжелое течение экссудативного плеврита может стать причиной развития острого легочного сердца. Появление выпота в плевральной полости сопровождается уменьшением болевого синдрома.
При экссудативном плеврите больной старается принять вынужденное положение, лежит на пораженном боку
При общей бледности кожных покровов обращает на себя внимание цианотичность лица, могут выбухать шейные вены, межреберные промежутки на стороне поражения грудной клетки с ее ассиметричным увеличением над пораженной областью. Голосовое дрожание на стороне поражения ослаблено или полностью отсутствует, уменьшаются или практически исчезают дыхательные шумы
Чем больше жидкости в плевральной полости, тем более интенсивно выражена эта симптоматика. При значительном скоплении экссудата усиливается одышка. Из-за смещения органов средостения в здоровую сторону возможны сердечно-сосудистые нарушения и утяжеление общего состояния пациента.
В области скопления жидкости определяется притупление перкуторного звука. Границы притупления формируют два прямоугольных треугольника: Гарлянда и Грокко – Раухфуса. Катетами треугольника Гарлянда являются ось позвоночника и перпендикуляр, проведенный от вершины уровня жидкости на ось позвоночника, а гипотенузой является линия Соколова – Дамуазо. Притуплено-тимпанический звук является проявлением компрессионного ателектаза. Треугольники Гарлянда и Грокко определяются при более значительном количестве жидкости, их катетами являются ось позвоночника, нижний край легкого на здоровой стороне, а гипотенузой считается продолжение линии Дамуазо на здоровой стороне. Притупление перкуторного звука происходит потому, что органы средостения смещаются в здоровую сторону.
В области скопления экссудата прослушивается ослабленное везикулярное дыхание или дыхание может вовсе не прослушиваться. В треугольнике Гарлянда прослушивается везикулярное дыхание с бронхиальным оттенком, в треугольнике Гарлянда и Грокко – ослабленное везикулярное.
Вывод
При сравнении плотности экссудата и транссудата также присутствуют характерные признаки, которые указывают на различие этих двух типов жидкостей. Специалисты отмечают более низкие параметры у пунктата, который принято называть транссудатом. Главным же критерием, по которому принято проводить сравнение и выявлять различие, является показатель по содержанию в составе белковых компонентов. В большинстве случаев экссудат содержит его очень много. В транссудате количество этого вещества сравнительно невелико. Получить информацию относительно белкового компонента помогает дополнительное исследование — проба Ривальты. Проводится она так: в емкость с уксусным составом постепенно добавляют несколько капель исследуемой жидкости. Визуальная особенность при падении укажет на тип жидкости и состав. Если капли превращаются в мутное облачко, то предстоит работать с экссудатом. Лечение подбирается соответствующее. Биологическая жидкость второго вида не дает визуально такой красивой реакции.





























