Период реабилитации после бронхоскопии
Лучшие материалы месяца
- Коронавирусы: SARS-CoV-2 (COVID-19)
- Антибиотики для профилактики и лечения COVID-19: на сколько эффективны
- Самые распространенные «офисные» болезни
- Убивает ли водка коронавирус
- Как остаться живым на наших дорогах?
После исследования пациенту требуется больше кислорода, поэтому он подается через эндотрахеальную трубку в течение 10-15 минут. Эта манипуляция делается для того, чтобы открылись спавшиеся альвеолы. В это время пациент не должен двигаться и спокойно лежать, по окончанию процедуры пациент должен находится под наблюдением еще в течение 15-20 минут.
В случае анестезии после пробуждения пациента желательно моментально прекратить подачу кислорода – удаляется эндотрахеальная трубка. Если пациент не просыпается после дополнительной подачи кислорода, это свидетельствует о пневмотораксе или бронхоспазме. Контролировать бронхоспазм следует с помощью бронходилататоров. Разрыв легочных клеток или повреждение трахеи могут спровоцировать развитие пневмоторакса. После диагностики через 2-3 дня врачи рекомендуют сделать рентген, который покажет наличие жидкости в легких.
В течение недели после процедуры пациент должен придерживаться щадящего постельного режима. Восьмичасовой сон и рациональное питание помогут восстановить состояние и избежать появления осложнений.
Лаваж бронхоальвеолярный – это бронхоскопический метод получения жидкости из бронхиол и альвеол. Взятая проба отправляется для дальнейших цитологических, биохимических, иммунологических и микробиологических анализов. Полученные результаты позволяют врачу поставить точный диагноз и начать эффективный курс терапии.
- Источники
- Зиновьев С. В. Руководство по морфологии клеток бронхоальвеолярного лаважа – Благовещенск, 2010, 46 с.
- Л.Н.Скажутина, Е.М.Рафибекова. Трахеобронхиальный и бронхоальвеолярный лаваж при бронхоскопии. Информационное письмо, 2018, 5 с.
Больше свежей и актуальной информации о здоровье на нашем канале в Telegram. Подписывайтесь: https://t.me/foodandhealthru
Автор статьи:
Извозчикова Нина Владиславовна
Специальность: инфекционист, гастроэнтеролог, пульмонолог.
Общий стаж: 35 лет.
Образование: 1975-1982, 1ММИ, сан-гиг, высшая квалификация, врач-инфекционист.
Другие статьи автора
Редактор статьи:
Момот Валентина Яковлевна
Специальность: Онкология.
Место работы: Институт экспериментальной патологии, онкологии и радиобиологии им. Р. Е. Кавецкого НАН Украины.
Все отредактированные статьи редактора
Будем признательны, если воспользуетесь кнопочками:
Инфекция день за днем
Патогенез легионеллеза можно описать следующим образом. Попав с током вдыхаемого воздуха в дыхательные пути, легионеллы проникают внутрь макрофагов и моноцитов в альвеолах легких, где начинают реплицироваться. Активированные Т-клетки производят лимфокины, стимулирующие повышенную противомикробную активность макрофагов. Эта клеточно-опосредованная активация позволяет остановить внутриклеточный рост бактерий. Большое значение, которое имеет в течении заболевания клеточный иммунитет, объясняет, почему болезнь легионеров чаще развивается у иммунонекомпетентных пациентов. Гуморальный иммунитет играет второстепенную роль в ответе организма на инфицирование легионеллами.
Легионеллы несут ответственность за две самостоятельные нозологические единицы: болезнь легионеров и болезнь Понтиака (понтиакская лихорадка). Первая характеризуется развитием пневмонии. Вторая, нелегочная форма легионеллеза, представляет собой краткосрочное заболевание (2–5 дней) средней тяжести, которое проявляется высокой температурой и миалгией. Болезнь Понтиака, в отличие от болезни легионеров, чаще развивается у молодых и здоровых людей. Она не вызывает озабоченности специалистов: понтиакская лихорадка имеет легкое течение и не требует лечения.
Намного тяжелее проходит болезнь легионеров. Инкубационный период легионеллеза колеблется от 2 до 10 дней. Для этой патологии характерно наличие продромального периода: за 1–2 дня до начала стадии клинических проявлений больные испытывают легкую головную боль и миалгию. Острая стадия сопровождается значительным повышением температуры (в среднем 38,8–40,5°С) и лихорадкой.
Кашель, присутствующий в 90 % случаев, в начале заболевания непродуктивный, но по мере прогрессирования становится влажным. Другие легочные проявления включают одышку, боль в груди, кровохарканье, присутствующее у третьей части больных.
Желудочно-кишечные симптомы легионеллеза: тошнота, рвота, водянистый понос, боль в животе и анорексия. Неврологические проявления включают головную боль, сонливость, энцефалопатию, часто — изменения психического состояния. Кроме того, для болезни легионеров характерны миалгии. Отметим, что нелегочные симптомы ярко проявляются на начальных стадиях заболевания.
Болезнь легионеров может протекать по‑разному. Одни пациенты хорошо отвечают на антибактериальное лечение и быстро идут на поправку, в то время как у других развивается тяжелая, длительная пневмония, плохо поддающаяся терапии. Наиболее опасны нозокомиальные пневмонии: уровень смертности в таких случаях приближается к 50 %. Самая частая причина летального исхода — прогрессирующая дыхательная недостаточность. Исход заболевания во многом зависит от сопутствующих заболеваний пациента и, конечно, своевременного начала антибиотикотерапии.
Клиника семейной медицины Эвкалипт
Эвкалипт — это многопрофильная клиника семейной медицины, в которой представлен широкий спектр медицинских услуг, как для детей, так и для взрослых. Работая круглосуточно, клиника обеспечивает неотложную медицинскую помощь по направлениям детской хирургии, травматологии и ортопедии, урологии-андрологии, ведёт плановый приём у квалифицированных узких специалистов. В клинике так же есть амбулаторно-поликлиническая служба, которая включает в себя прием специалистов по направлениям: педиатрии, неврологии, эндокринологии, оториноларингологии, офтальмологии, хирургии (детский и взрослый), детской урологии, гинекологии (детский и взрослый), массажа, детской и взрослой стоматологии (в т.ч. под наркозом), физиотерапии, эндоскопии (ФГДС, бронхоскопия), урологии-андрологии и т.д.
Диагностика саркоидоза легких
При подозрении на саркоидоз проводятся как инструментальные, так и лабораторные исследования. Прежде всего это рентгенография легких, по которой определяют стадию заболевания. Для уточнения структуры легких и обнаружения других патологических изменений также проводится компьютерная и магнитно-резонансная томографии.
Поставить верный диагноз врачу помогает бронхоскопия с биопсией (забор небольшого фрагмента легочной ткани). Полученный таким образом биоптат отправляют в лабораторию для проведения микроскопического и гистологического анализа, чтобы выявить наличие гигантских эпителиоидных многоядерных клеток (из которых состоят гранулемы), а также признаков воспалительного и/или некротического поражения. Микроскопическое исследование биоптата позволяет дифференцировать саркоидоз легких от ряда других легочных патологий, в частности, рака легких, туберкулеза и других.
Саркоидоз и туберкулез
Гранулемы при саркоидозе напоминают таковые при туберкулезе. Единственное отличие — в саркоидной гранулеме нет казеозного некроза (омертвевшая ткань, напоминающая творожистую массу). Дифференцировать саркоидоз от туберкулеза также позволяют иммунологические и морфологические (микроскопические) исследования.
Анализы крови при саркоидозе показывают повышенный уровень СОЭ (скорость оседания эритроцитов) и лейкоцитоз (повышенный уровень лейкоцитов крови), что указывает на наличие выраженного воспалительного процесса в организме.
Диагностические мероприятия позволяют не только установить болезнь, но и ее стадию (подробнее см. в разделе «Классификация»), на основании чего пациенту составляют схему лечения.
Когда обратиться к врачу
Чтобы вовремя обнаружить болезнь, следует регулярно обследоваться в профилактических целях. Особенно это касается людей из групп риска, имеющих соответствующую семейную историю болезней. Фото: serezniy / Depositphotos
Коварность данного заболевания в том, что часто оно протекает бессимптомно
Нередко саркоидоз выявляют в ходе профилактического осмотра у врача, что только подчеркивает важность проведения своевременных чек-апов. Острое начало заболевания с появлением ярких симптомов является поводом для скорейшего обращения к врачу
Достоинства и недостатки метода ПЦР
Анализ ПЦР – результативный диагностический инструмент, позволяющий врачу не только правильно определить тип инфекционного возбудителя в организме больного, но также и количество микробов. Эта особенность позволяет методу ПЦР эффективно обнаруживать и хронические инфекции, к примеру, вирусный гепатит.
Преимущества методики заключаются в следующих особенностях:
- Универсальность. Метод дает возможность определить все известные на сегодняшний день микроорганизмы, вне зависимости от вида исследуемого материала.
- Специфичность. ПЦР позволяет определить ДНК вируса или бактерии со 100% точностью, что не дает ни один другой способ диагностики.
- Чувствительность – даже один мельчайший «обломок» ДНК или РНК может быть обнаружен и идентифицирован, благодаря быстрой реакции образования копий.
- Оперативность – поставить диагноз на основании полимеразной цепной реакции можно уже через несколько часов после забора биологического материала, что дает возможность своевременно приступить к лечению заболевания.
- Возможность проведения количественного анализа. Эта особенность важна при выявлении болезней, вызванных условно-патогенной флорой (например, молочницы). Повышенное содержание грибков кандида в организме вызывает заболевание, а нормальное количество до 10 3 — 104 КОЕ/тамп. – нет.
Недостатки ПЦР-диагностики – это необходимость в высокотехнологичном оборудовании и высококвалифицированных специалистах. Для анализа нужен специальный бокс-ламинар, где поддерживается необходимая температура и обеспечивается чистота эксперимента.
4.Диагностика и лечение
Диагностика доброкачественных опухолей легких
Помимо рентгеновского обследования и компьютерной томографии для диагностики опухолей легких, о которых мы уже говорили, диагностика состояния здоровья пациента может заключаться в контроле динамики развития опухоли в течение нескольких лет. Обычно такая практика используется, если размер узелка не превышает 6 мм и пациент не входит в группу риска по заболеванию раком легких. Если узелок остается того же размера, по крайней мере, два года, он считается доброкачественным. Это связано с тем, что доброкачественные опухоли легких растут медленно, если вообще растут. Раковые опухоли, напротив, удваиваются в размере каждые четыре месяца. Дальнейшее ежегодной наблюдение, по меньшей мере, в течение пяти лет поможет окончательно убедиться, что опухоль легких доброкачественная.
Доброкачественные узелки в легких обычно имеют гладкие края и более равномерный цвет по всей поверхности. Они более правильной формы, чем раковые узелки. В большинстве случаев для проверки скорости роста, формы и других характеристик опухоли (к примеру, кальцификации), достаточно рентгена грудной клетки или компьютерной томографии (КТ).
Но возможно, что Ваш врач назначит и другие исследования, особенно если опухоль изменила размер, форму или внешний вид. Это делается для того, чтобы исключить рак легких или определить основную причину появления доброкачественных узелков.
Для диагностики может потребоваться:
- Анализ крови;
- Туберкулиновые пробы, чтобы диагностировать туберкулез;
- Позитронно-эмиссионная томография (ПЭТ);
- Одноместное фото-излучение КТ (ОФЭКТ);
- Магнитно-резонансная томография (МРТ, в редких случаях);
- Биопсия – взятие образца ткани и дальнейшее его исследование под микроскопом, чтобы определить, является опухоль легких доброкачественной или злокачественной.
Биопсия может быть выполнена при помощи различных методов, например, аспирации иглой или бронхоскопии.
Лечение доброкачественных опухолей легких
Во многих случаях специфическое лечение доброкачественной опухоли легких не требуется. Тем не менее, удаление новообразования может быть рекомендовано в том случае, если:
- Вы курите, и узелок имеет большой размер;
- Проявляются неприятные симптомы заболевания;
- Результаты обследования дают основания полагать, что опухоль легких является злокачественной;
- Узелок увеличивается в размерах.
Если для лечения опухоли легких требуется операция, ее проводит торакальный хирург. Современные методики и квалификация торакального хирурга позволяют выполнить операцию с небольшими разрезами, и сокращают время пребывания в стационаре. Если удаленные узелок был доброкачественным, дальнейшее лечение не потребуется, за исключением тех случаев, когда наличие опухоли осложнялось другими проблемами, к примеру, пневмонией или обструкцией.
Патоморфология
Морфологический критерий пневмонии — воспаление респираторного отдела легких. Поражение бронхов при этом непостоянно, но случается в большинстве случаев. Воспаление экссудативное. При бронхопневмонии процесс затрагивает только альвеолы и бронхи, которые соприкасаются с ними. При лобарной пневмонии поражение касается целой доли легкого. Сливная пневмония имеет сходство с долевой формой.
Происходит развитие в легких полостей, когда когда некротизированный участок легочной ткани сообщается с дыхательными путями, что вызывает некротическую пневмонию или абсцесс легких. Патоморфологическая картина пневмонии сильно зависит от того, какой возбудитель привел к заболеванию. При пневмококковой пневмонии типично редкое развитие некроза и абсцедирования, фибринозное воспаление.
При пневмониях, вызванных стрептококками, резко выражен некроз ткани легкого, а геморрагический компонент выражен в меньшей мере. Наблюдается гематогенная и лимфогенная диссеминация в более частых случаях, чем при стафилококковой пневмонии.
Патоморфология стафилококковых пневмоний включает некроз (отмираение) ткани легких, а вокруг этого участка отмечается скопление нейтрофилов. По краю участка с воспалением альвеолы содержат гнойный или фибринозный экссудат, в котором нет бактерий. При тяжелом течении в участках преобладания стафилококков разрушается легочная ткань, что в медицинской литературе называется стафилококковой деструкцией легких.
Если возбудителем пневмонии является синегнойная палочка, воспалительный очаг имеет серо-красный оттенок и тестоватую консистенцию. Формируется множество небольших очагов некроза, вокруг которых наблюдается зона стаза, полнокровия, кровоизлияний.
Патоморфология фридлендеровской пневмонии характеризуется тем, что воспалительный процесс касается и долей. Выделяемая мокрота и экссудат слизистого характера. Образуются обширные инфарктообразные некрозы ткани легкого по причине закупорки мелких сосудов тромбами.
При микоплазменных и вирусных пневмониях бывают в основном интерстициальные поражения. Также типичны инфильтративно-пролиферативные изменения в межальвеолярных и межлобулярных перегородках, отеки там же, а также аналогичные изменения в периваскулярной и перибронхиальной клетчатке. Экссудата практически нет в альвеолах. Фиксируют воспаление слизистой бронхиол и бронхов, застой крови, парез капилляров и пр.
Обзор отзывов пациентов
Когда больному назначают бронхоскопию, что это такое он пытается понять по отзывам тех, кто через это уже прошел. Эту процедуру никто не хвалит. Но большинство считает, что представления о ней у всех более мрачные, чем это есть на самом деле. Отзывы пациентов о бронхоскопии часто включают перечень дискомфортных ощущений во время процедуры: нехватка воздуха, чувство удушью, панические атаки.
О том, что очень больно в процессе, никто не говорит. Основная жалоба — это ком в горле. Как пройдет бронхоскопия, во многом зависит от психологического настроя пациента. Когда взрослые оставляют отзывы о том, как проводится бронхоскопия легких, они редко упоминают осложнения. Если исследование осуществляет опытный эндоскопист, то опасаться за свое здоровье не приходится.
Диагностика, подтверждающая необходимость терапии
После постановки диагноза следует оценить степень саркоидоза и показания к терапии. Выполняются:
- УЗИ брюшной полости;
- морфологический анализ и тесты на трансаминазы, билирубин, креатинин, уровни кальция, активность ангиотензин-превращающего фермента сыворотки (АПФ);
- анализ на кальций в суточной моче;
- ЭКГ и эхокардиография;
- офтальмологическое обследование в щелевой лампе.
Подсчет лимфоцитов бесполезен при определении необходимости терапии саркоидоза.
Функцию легких оценивают с помощью плетизмографии (колебания объема, связанное с кровенаполнением сосудов), оценки D LCO (диффузионной емкости легких для окиси углерода) и теста 6-минутной ходьбы. У каждого пятого больного гиперреактивность бронхов связана с наличием гранулем на слизистой оболочке этих органов. У 60% — изменения носят ограничительный характер с сопутствующим снижением D LCO.
В зависимости от клинического состояния некоторым больным требуется расширенная диагностика. При симптомах со стороны ЦНС проводят МРТ головы. В случае изменений эхокардиографии сердца или наличия клиники со стороны системы кровообращения нужны холтеровская электрокардиография и МРТ сердца.
Подводные камни диагностики легионеллеза
Диагностировать пневмонию несложно. Гораздо сложнее определиться с возбудителем легионеллеза, особенно когда подозрение падает на легионелл. Американское общество инфекционных болезней совместно с Американским торакальным обществом рекомендуют насторожиться и рассмотреть вероятность болезни легионеров у шести категорий больных пневмонией:
- пациенты с внебольничной пневмонией, не ответившие на антибиотикотерапию;
- больные с тяжелой формой пневмонии, особенно те, кто требуют реанимационной помощи;
- иммунонекомпетентные больные пневмонией;
- пациенты с пневмонией, проживающие в районах с установленными вспышками легионеллеза;
- пациенты, которые путешествовали в течение двух недель до начала заболевания;
- больные с подозрением на нозокомиальную пневмонию.
Важный метод диагностики легионеллезной пневмонии — выделение легионелл на селективных средах из дыхательных путей или легочной ткани. Часто используют тест, позволяющий выделить антигены легионелл в моче, хотя посев культуры все‑таки более чувствителен и специфичен. Кроме того, иногда применяют метод выделения ДНК легионелл в моче, мокроте, образцах сыворотки или бронхоальвеолярном лаваже с помощью ПЦР.
Исторические сведения
В начале XX века во время лечения пневмонии была впервые выполнена экспериментальная процедура – промывание бронхов для удаления из них воспалительной жидкости. В условиях стационара бронхоскопию впервые провели в 1922 году. Через 38 лет было выполнено промывание бронхов с помощью интубационной трубки, в дальнейшем применялись зонды с двумя просветами.
Классический способ проведения бронхоальвеолярного лаважа применяется с середины 90-х годов для выявления характера и особенностей протекания легочных болезней.
В ходе процедуры врач промывает специальным раствором (чаще всего используется натрия хлорид) бронхоальвеолярную область.
При проведении процедуры можно получить бронхиальный секрет и клетки из глубоко локализованных сегментов легких. Постоянно усовершенствуется техника и предлагаются новые способы процедуры бронхоальвеолярного лаважа для клинических целей и фундаментальной диагностики.
Распространенность и паттерны повышения плотности легочной ткани
За исключением трех пациентов с нормальным начальным КТ грудной клетки, оставшиеся 18 из 21 пациентов (86 %) по определению имели изменения, затрагивающие по крайней мере одну долю. Из 21 пациента у одного пациента (5 %) была поражена одна доля, у двух пациентов (10 %) изменения определялись в двух долях, у трех пациентов (14 %) были поражены три доли, у четырех (19 %) — четыре, и у восьми пациентов (38 %) патологические изменения распространялись на все пять долей.
Правая верхняя доля была вовлечена у 14 из 21 пациентов при изначальном КТ исследовании (67 %), правая средняя доля — у 12 (57 %), правая нижняя доля — у 16 (76 %), изменения в левой верхней доле отмечались у 14 (67 %) пациентов, левой нижней — у 14 (67 %).
Из 18 пациентов с повышением плотности легочной ткани у 16 изменения были двусторонними, а у двух — односторонним ( у обоих было поражено правое легкое).Суммарный балл по «шкале степени тяжести поражения легкого» варьировался от 0 (при трех нормальных КТ-исследованиях) до максимум 19 со средним баллом 9,9. Пациент с наивысшим баллом тяжести поступил в отделение интенсивной терапии (рис. 1)..

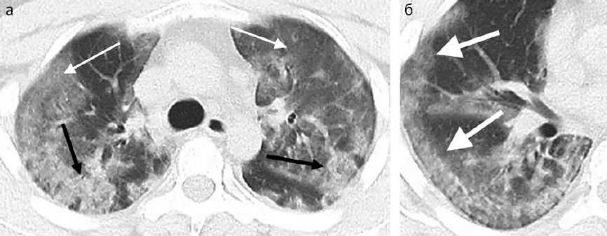
Рисунок 1
29-летний мужчина с неизвестным эпидемиологическим анамнезом, поступил с жалобами на лихорадку, кашель и был сразу направлен в отделение интенсивной терапии. (a) Аксиальный тонкосрезовый КТ-скан без введения контрастного препарата демонстрирует диффузные области уплотнения по типу «матового стекла» сливного характера с двух сторон (белые стрелки) и зоны консолидации (черные стрелки). (б) Аксиальный КТ-скан без введения контрастного препарата показывает, что изменения в правой средней и нижней долях имеет тенденцию к периферической локализации (стрелки).
У семи (33 %) пациентов при изначальном исследовании выявлялись уплотнения по типу «матового стекла» и/или участки консолидации округлой формы (рис. 2). Трое из 21 пациентов (14 %) имели уплотнения с преимущественно линейным паттерном, а у четверых (19 %) определялся симптом «булыжной мостовой» (рис. 3). У семи пациентов (21 %) наблюдалось распространение изменений на периферическое отделы легкого (рис. 4). Ни у одного пациента не было обнаружено легочных кавитаций, отдельных легочных узелков, плеврального выпота (-ов), лимфаденопатии, эмфиземы легких или фиброза..

Рисунок 2
36-летний мужчина с после недавнего путешествия в Ухань, жаловался на лихорадку, усталость и миалгию. Корональный тонкосрезовый КТ-скан без введения контрастного препарата показывает области уплотнения по типу «матового стекла» округлой формы в обеих верхних долях (стрелки).

Рисунок 3
Женщина 66 лет после недавнего путешествия в Ухань, у которой был жар и продуктивный кашель. Аксиальный тонкосрезовый коллимированный КТ-скан без введения контрастного вещества демонстрирует «симптом булыжной мостовой»: ретикулярный паттерн в виде утолщение междольковых перегородок и линейных уплотнений интерстиции на фоне поражения по типу «матового стекла» правой нижней доли (стрелка).

Рисунок 4
69-летний мужчина, недавно посещавший Ухань, поступивший с лихорадкой. На аксиальном тонкосрезовом КТ-скане без введения контрастного вещества определяются участки уплотнения по типу «матового стекла» в нижних долях с выраженной тенденцией к периферическому распространению (стрелки).
Как сдать анализ ПЦР правильно: подготовка
Чтобы понять, как именно следует подготовиться к предстоящему анализу ПЦР, пациент должен обязательно уточнить у своего врача, какой именно биологический материал планируется взять. От этого непосредственно зависит подготовка.
- Выделения из половых органов, мазок из шейки матки или мочеиспускательного канала, моча – посредством исследования данных вариантов материала методом ПЦР эффективно диагностируются инфекции половых органов.
- Вирусный гепатит C, ВИЧ инфекция требуют взятие крови на анализ ПЦР.
- С помощью мазка из зева можно подтвердить или опровергнуть факт наличия инфекционного мононуклеоза.
Лечение пневмонии
Лечат пневмонию всегда в условиях больницы. Госпитализируют таких пациентов:
- в возрасте от 70 лет
- при ХОБЛ
- при застойной СН
- с хроническом гепатитом
- с хроническим нефритом
- при сахарном диабете и пр.
Интенсивная терапия при пневмонии нужна при таких состояниях:
- недостаточность кровообращения: шок
- дыхательная недостаточность: отношение ра02 к РЮ2 менее 50
- ОПН
- олигоанурия
- менингит
- ДВ-синдром
- кома
Выбор антибиотика диктуется типом пневмонии, а продолжительность курса зависит от изначальной тяжести болезни, сопутствующих заболеваний, наличия осложнений. Во всех случаях ее нужно продолжать минимум 3 суток после нормализации температуры тела. Также антибиотики отменяют, когда нормализуется рентгенологическая картина, показатели мокроты и крови.
При выраженном угнетении иммунитета терапия пневмонии проводится такими ЛС:
- меропенем
- имипенем
- комбинация цефоперазона/цефоперазона + сульбактам с аминогликозидами II- III поколения
- комбинация цефтазидима с аминогликозидами II- III поколения
- тикарциллин + клавулановая кислота с аминогликозидами II- III поколения и др.
Показания
У взрослых к бронхоскопии могут быть следующие показания:
- изнуряющий кашель без объективных причин;
- стабильное нарушение ритма и частоты дыхания;
- харканье кровью;
- часто повторяющиеся воспаления бронхов и легких;
- подозрение на новообразование;
- кистозный фиброз легких;
- поражение легких палочкой Коха;
- истечение крови из дыхательного тракта.
Еще фибробронхоскопия легких назначается перед пульмонологической операцией или для установки стента с целью расширения дыхательных путей при разрастании новообразования. Бронхоскопия при пневмонии может преследовать сразу 2 цели: обследование и лечение.



























